
Figure 1. Western blot analysis of TSR2 using anti-TSR2 antibody (A12413-1). Electrophoresis was performed on a 5-20% SDS-PAGE gel at 70V (Stacking gel) / 90V (Resolving gel) for 2-3 hours. The sample well of each lane was loaded with 30 ug of sample under reducing conditions. Lane 1: human Hela whole cell lysates, Lane 2: human 293T whole cell lysates, Lane 3: human A549 whole cell lysates, Lane 4: human MCF-7 whole cell lysates, Lane 5: rat brain tissue lysates, Lane 6: mouse kidney tissue lysates, Lane 7: mouse brain tissue lysates. After electrophoresis, proteins were transferred to a nitrocellulose membrane at 150 mA for 50-90 minutes. Blocked the membrane with 5% non-fat milk/TBS for 1.5 hour at RT. The membrane was incubated with rabbit anti-TSR2 antigen affinity purified polyclonal antibody (Catalog # A12413-1) at 0.5 microg/mL overnight at 4°C, then washed with TBS-0.1%Tween 3 times with 5 minutes each and probed with a goat anti-rabbit IgG-HRP secondary antibody at a dilution of 1:5000 for 1.5 hour at RT. The signal is developed using an Enhanced Chemiluminescent detection (ECL) kit (Catalog # EK1002) with Tanon 5200 system. A specific band was detected for TSR2 at approximately 24-30 kDa. The expected band size for TSR2 is at 21 kDa.
Anti-TSR2 Antibody Picoband(r)
A12413-1-CARRIER-FREE
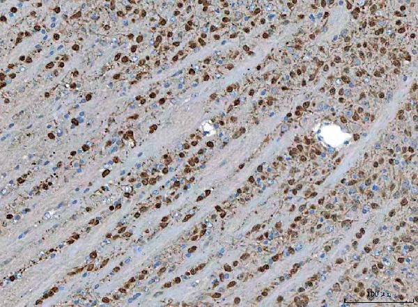
ApplicationsWestern Blot, ELISA, ImmunoHistoChemistry
Product group Antibodies
TargetTSR2
Overview
- SupplierBoster Bio
- Product NameAnti-TSR2 Antibody Picoband(r)
- Delivery Days Customer9
- ApplicationsWestern Blot, ELISA, ImmunoHistoChemistry
- CertificationResearch Use Only
- ClonalityPolyclonal
- Concentration500 ug/ml
- Gene ID90121
- Target nameTSR2
- Target descriptionTSR2 ribosome maturation factor
- Target synonymsDBA14, DT1P1A10, WGG1, pre-rRNA-processing protein TSR2 homolog, TSR2, 20S rRNA accumulation, homolog, WGG motif containing 1, escortin
- HostRabbit
- IsotypeIgG
- Protein IDQ969E8
- Protein NamePre-rRNA-processing protein TSR2 homolog
- Scientific DescriptionBoster Bio Anti-TSR2 Antibody Picoband® catalog # A12413-1. Tested in ELISA, IHC, WB applications. This antibody reacts with Human, Mouse, Rat. The brand Picoband indicates this is a premium antibody that guarantees superior quality, high affinity, and strong signals with minimal background in Western blot applications. Only our best-performing antibodies are designated as Picoband, ensuring unmatched performance.
- Storage Instruction-20°C,2°C to 8°C
- UNSPSC12352203




