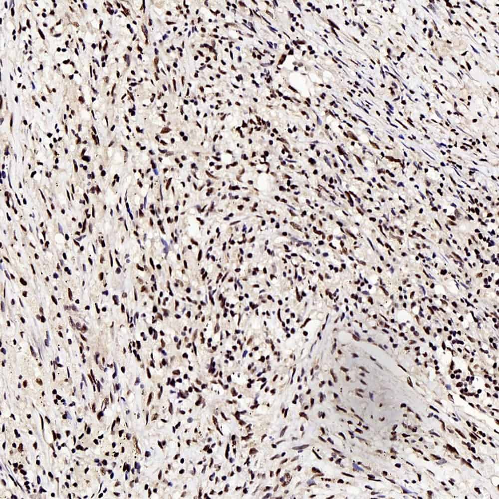
Immunohistochemistry analysis of paraffin-embedded human lung cancer using c-Fos Polyclonal Antibody at dilution of 1:200.
c-Fos Polyclonal Antibody
E-AB-70027
Product group Antibodies
Overview
- SupplierElabscience
- Product Namec-Fos Polyclonal Antibody
- Delivery Days Customer12
- CertificationResearch Use Only
- Scientific DescriptionThe Fos gene family consists of 4 members: FOS, FOSB, FOSL1, and FOSL2. These genes encode leucine zipper proteins that can dimerize with proteins of the JUN family, thereby forming the transcription factor complex AP-1. As such, the FOS proteins have been implicated as regulators of cell proliferation, differentiation, and transformation. In some cases, expression of the FOS gene has also been associated with apoptotic cell death.
- UNSPSC12352203





