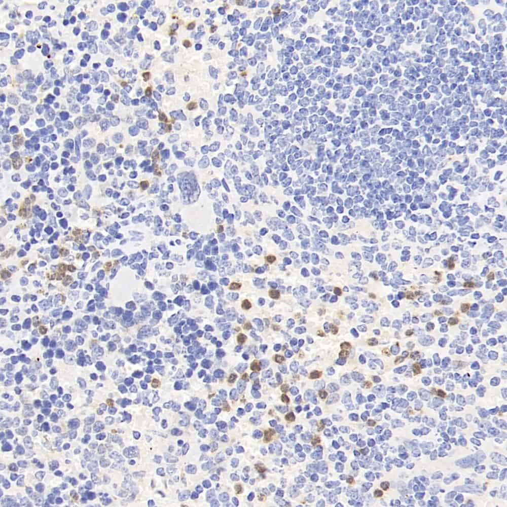
Immunohistochemistry analysis of paraffin-embedded mouse spleen using CCR5 Polyclonal Antibody at dilution of 1:300.
CCR5 Polyclonal Antibody
E-AB-70361
ApplicationsImmunoHistoChemistry
Product group Antibodies
TargetCcr5
Overview
- SupplierElabscience
- Product NameCCR5 Polyclonal Antibody
- Delivery Days Customer12
- ApplicationsImmunoHistoChemistry
- CertificationResearch Use Only
- ClonalityPolyclonal
- Concentration0.55 mg/ml
- ConjugateUnconjugated
- Gene ID12774
- Target nameCcr5
- Target descriptionC-C motif chemokine receptor 5
- Target synonymsAM4-7, CD195, Cmkbr5, C-C chemokine receptor type 5, C-C CKR-5, CC-CKR-5, CCR-5, MIP-1 alpha receptor, chemokine (C-C motif) receptor 5, chemokine (C-C) receptor 5
- HostRabbit
- IsotypeIgG
- Protein IDO08556
- Protein NameC-C chemokine receptor type 5
- Scientific DescriptionThis gene encodes a member of the beta chemokine receptor family, which is predicted to be a seven transmembrane protein similar to G protein-coupled receptors. This protein is expressed by T cells and macrophages, and is known to be an important co-receptor for macrophage-tropic virus, including HIV, to enter host cells. Defective alleles of this gene have been associated with the HIV infection resistance. The ligands of this receptor include monocyte chemoattractant protein 2 (MCP-2), macrophage inflammatory protein 1 alpha (MIP-1 alpha), macrophage inflammatory protein 1 beta (MIP-1 beta) and regulated on activation normal T expressed and secreted protein (RANTES). Expression of this gene was also detected in a promyeloblastic cell line, suggesting that this protein may play a role in granulocyte lineage proliferation and differentiation.
- Storage Instruction-20°C
- UNSPSC41116161

