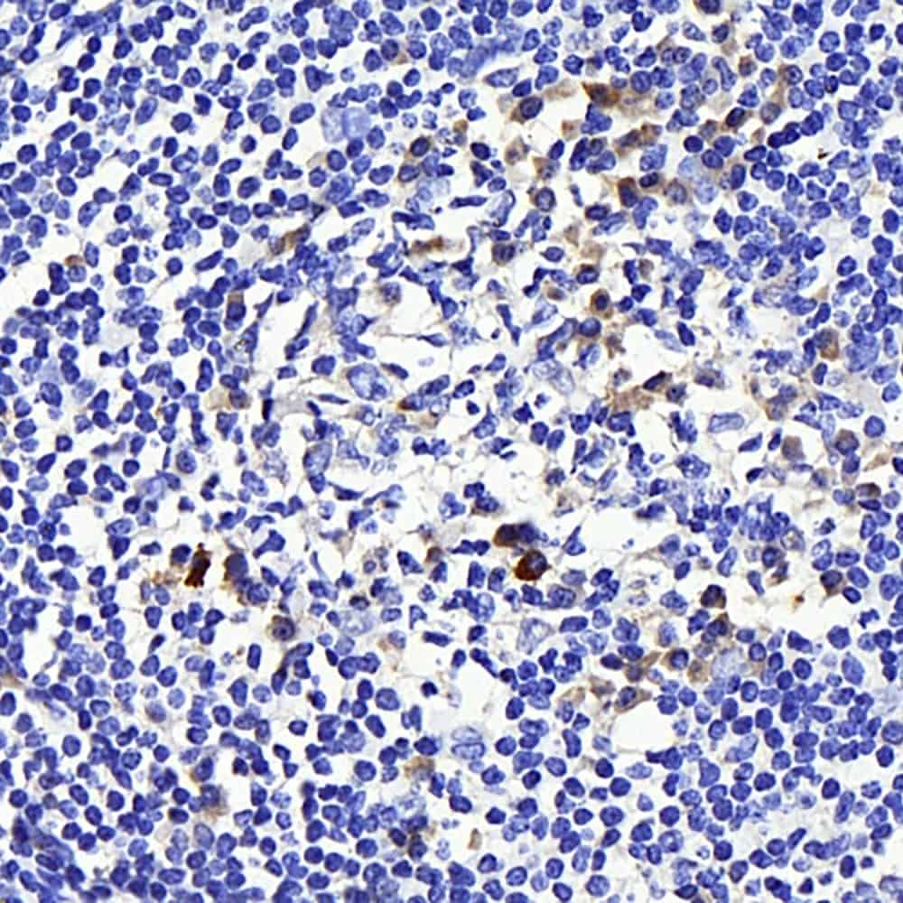
Immunohistochemistry analysis of paraffin-embedded human tonsil using CD169 Polyclonal Antibody at dilution of 1:300.
CD169 Polyclonal Antibody
E-AB-70160
Product group Antibodies
Overview
- SupplierElabscience
- Product NameCD169 Polyclonal Antibody
- Delivery Days Customer12
- CertificationResearch Use Only
- Scientific DescriptionThis gene encodes a member of the immunoglobulin superfamily. The encoded protein is a lectin-like adhesion molecule that binds glycoconjugate ligands on cell surfaces in a sialic acid-dependent manner. It is a type I transmembrane protein expressed only by a subpopulation of macrophages and is involved in mediating cell-cell interactions. Alternative splicing produces a transcript variant encoding an isoform that is soluble rather than membrane-bound; however, the full-length nature of this variant has not been determined.SIGLEC1 (Sialic Acid Binding Ig Like Lectin 1) is a Protein Coding gene. Diseases associated with SIGLEC1 include Proliferative Glomerulonephritis and Diffuse Cutaneous Systemic Sclerosis. Among its related pathways are Immunoregulatory interactions between a Lymphoid and a non-Lymphoid cell and Innate Immune System. GO annotations related to this gene include carbohydrate binding. An important paralog of this gene is CD22.
- UNSPSC12352203






