![Untreated (–) and treated (+) THP-1 whole cell extracts (30 μg) were separated by 7.5% SDS-PAGE, and the membrane was blotted with CD36 antibody [C1C3] (GTX100642) diluted at 1:1000. The HRP-conjugated anti-rabbit IgG antibody (GTX213110-01) was used to detect the primary antibody, and the signal was developed with Trident ECL plus-Enhanced. Untreated (–) and treated (+) THP-1 whole cell extracts (30 μg) were separated by 7.5% SDS-PAGE, and the membrane was blotted with CD36 antibody [C1C3] (GTX100642) diluted at 1:1000. The HRP-conjugated anti-rabbit IgG antibody (GTX213110-01) was used to detect the primary antibody, and the signal was developed with Trident ECL plus-Enhanced.](https://www.genetex.com/upload/website/prouct_img/normal/GTX100642/GTX100642_42298_20220923_WB_treatment_PMA_22092622_830.webp)
Untreated (–) and treated (+) THP-1 whole cell extracts (30 μg) were separated by 7.5% SDS-PAGE, and the membrane was blotted with CD36 antibody [C1C3] (GTX100642) diluted at 1:1000. The HRP-conjugated anti-rabbit IgG antibody (GTX213110-01) was used to detect the primary antibody, and the signal was developed with Trident ECL plus-Enhanced.
CD36 antibody [C1C3]
GTX100642
ApplicationsImmunoFluorescence, Western Blot, ImmunoCytoChemistry, ImmunoHistoChemistry, ImmunoHistoChemistry Paraffin
Product group Antibodies
ReactivityHuman, Mouse
TargetCD36
Overview
- SupplierGeneTex
- Product NameCD36 antibody [C1C3]
- Delivery Days Customer9
- Application Supplier NoteWB: 1:500-1:3000. ICC/IF: 1:100-1:1000. IHC-P: 1:100-1:1000. *Optimal dilutions/concentrations should be determined by the researcher.Not tested in other applications.
- ApplicationsImmunoFluorescence, Western Blot, ImmunoCytoChemistry, ImmunoHistoChemistry, ImmunoHistoChemistry Paraffin
- CertificationResearch Use Only
- ClonalityPolyclonal
- Concentration0.47 mg/ml
- ConjugateUnconjugated
- Gene ID948
- Target nameCD36
- Target descriptionCD36 molecule (CD36 blood group)
- Target synonymsBDPLT10, CHDS7, FAT, GP3B, GP4, GPIV, PASIV, SCARB3, platelet glycoprotein 4, CD36 antigen (collagen type I receptor, thrombospondin receptor), CD36 molecule (CD36 blood group) transcript, CD36 molecule (thrombospondin receptor), GPIIIB, PAS IV, PAS-4 protein, cluster determinant 36, fatty acid translocase, glycoprotein IIIb, leukocyte differentiation antigen CD36, platelet glycoprotein IV, scavenger receptor class B, member 3
- HostRabbit
- IsotypeIgG
- Protein IDP16671
- Protein NamePlatelet glycoprotein 4
- Scientific DescriptionThe protein encoded by this gene is the fourth major glycoprotein of the platelet surface and serves as a receptor for thrombospondin in platelets and various cell lines. Since thrombospondins are widely distributed proteins involved in a variety of adhesive processes, this protein may have important functions as a cell adhesion molecule. It binds to collagen, thrombospondin, anionic phospholipids and oxidized LDL. It directly mediates cytoadherence of Plasmodium falciparum parasitized erythrocytes and it binds long chain fatty acids and may function in the transport and/or as a regulator of fatty acid transport. Mutations in this gene cause platelet glycoprotein deficiency. Multiple alternatively spliced transcript variants encoding the same protein have been found for this gene. [provided by RefSeq]
- ReactivityHuman, Mouse
- Storage Instruction-20°C or -80°C,2°C to 8°C
- UNSPSC12352203
References
- Xiang W, Lv H, Xing F, et al. Inhibition of ACLY overcomes cancer immunotherapy resistance via polyunsaturated fatty acids peroxidation and cGAS-STING activation. Sci Adv. 2023,9(49):eadi2465. doi: 10.1126/sciadv.adi2465Read this paper
- Rodriguez-Lopez C, Santalla A, Valenzuela PL, et al. Muscle glycogen unavailability and fat oxidation rate during exercise: Insights from McArdle disease. J Physiol. 2023,601(3):551-566. doi: 10.1113/JP283743Read this paper
- Sui D, Yu H. Protective roles of apremilast via Sirtuin 1 in atherosclerosis. Bioengineered. 2022,13(5):13872-13881. doi: 10.1080/21655979.2022.2085390Read this paper
- Ageeli W, Zhang X, Ogbonnaya CN, et al. Multimodality Characterization of Cancer-Associated Fibroblasts in Tumor Microenvironment and Its Correlation With Ultrasound Shear Wave-Measured Tissue Stiffness in Localized Prostate Cancer. Front Oncol. 2022,12:822476. doi: 10.3389/fonc.2022.822476Read this paper
- Njau F, Haller H. Calcium Dobesilate Modulates PKCδ-NADPH Oxidase- MAPK-NF-κB Signaling Pathway to Reduce CD14, TLR4, and MMP9 Expression during Monocyte-to-Macrophage Differentiation: Potential Therapeutic Implications for Atherosclerosis. Antioxidants (Basel). 2021,10(11). doi: 10.3390/antiox10111798Read this paper
- Brusini R, Dormont F, Cailleau C, et al. Squalene-based nanoparticles for the targeting of atherosclerotic lesions. Int J Pharm. 2020,581:119282. doi: 10.1016/j.ijpharm.2020.119282Read this paper
- Tsai YT, Ruan JW, Chang CS, et al. Antrodia cinnamomea Confers Obesity Resistance and Restores Intestinal Barrier Integrity in Leptin-deficient Obese Mice. Nutrients. 2020,12(3). doi: 10.3390/nu12030726Read this paper
- Tsukahara T. 1-O-alkyl glycerophosphate-induced CD36 expression drives oxidative stress in microglial cells. Cell Signal. 2020,65:109459. doi: 10.1016/j.cellsig.2019.109459Read this paper
- Xu M, Xue RQ, Lu Y, et al. Choline ameliorates cardiac hypertrophy by regulating metabolic remodelling and UPRmt through SIRT3-AMPK pathway. Cardiovasc Res. 2019,115(3):530-545. doi: 10.1093/cvr/cvy217Read this paper
- Sun Q, Zhang W, Wang L, et al. Hypermethylated CD36 gene affected the progression of lung cancer. Gene. 2018,678:395-406. doi: 10.1016/j.gene.2018.06.101Read this paper
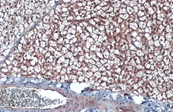
![CD36 antibody [C1C3] detects CD36 protein by immunohistochemical analysis. Sample: Paraffin-embedded mouse brown adipocyte. CD36 stained by CD36 antibody [C1C3] (GTX100642) diluted at 1:500. Antigen Retrieval: Citrate buffer, pH 6.0, 15 min CD36 antibody [C1C3] detects CD36 protein by immunohistochemical analysis. Sample: Paraffin-embedded mouse brown adipocyte. CD36 stained by CD36 antibody [C1C3] (GTX100642) diluted at 1:500. Antigen Retrieval: Citrate buffer, pH 6.0, 15 min](https://www.genetex.com/upload/website/prouct_img/normal/GTX100642/GTX100642_42298_20191101_IHC-P_M_w_23060100_182.webp)


![Unstimulatd and stimulatd 3T3-L1 whole cell extracts (20 μg) were separated by 10% SDS-PAGE, and the membrane was blotted with CD36 antibody [C1C3] (GTX100642) diluted at 1:500. The HRP-conjugated anti-rabbit IgG antibody (GTX213110-01) was used to detect the primary antibody. (The differentiation stimulated medium is composed by basal medium, 10% FBS, 50 ug/ml gentamicin, 1 nM L-glutamin, 500 uM IBMX, 1 uM dexamethasone, 2 uM rosiglitazone and 1 ug/ml insulin.) Unstimulatd and stimulatd 3T3-L1 whole cell extracts (20 μg) were separated by 10% SDS-PAGE, and the membrane was blotted with CD36 antibody [C1C3] (GTX100642) diluted at 1:500. The HRP-conjugated anti-rabbit IgG antibody (GTX213110-01) was used to detect the primary antibody. (The differentiation stimulated medium is composed by basal medium, 10% FBS, 50 ug/ml gentamicin, 1 nM L-glutamin, 500 uM IBMX, 1 uM dexamethasone, 2 uM rosiglitazone and 1 ug/ml insulin.)](https://www.genetex.com/upload/website/prouct_img/normal/GTX100642/GTX100642_42298_20191115_WB_treatment_M_Stimulated_w_23060100_918.webp)
![Mouse tissue extract (50 μg) was separated by 7.5% SDS-PAGE, and the membrane was blotted with CD36 antibody [C1C3] (GTX100642) diluted at 1:1000. Mouse tissue extract (50 μg) was separated by 7.5% SDS-PAGE, and the membrane was blotted with CD36 antibody [C1C3] (GTX100642) diluted at 1:1000.](https://www.genetex.com/upload/website/prouct_img/normal/GTX100642/GTX100642_42298_20151203_WB_M_adipose_w_23060100_785.webp)
![Various tissue extracts (50 μg) were separated by 7.5% SDS-PAGE, and the membrane was blotted with CD36 antibody [C1C3] (GTX100642) diluted at 1:500. The HRP-conjugated anti-rabbit IgG antibody (GTX213110-01) was used to detect the primary antibody. Various tissue extracts (50 μg) were separated by 7.5% SDS-PAGE, and the membrane was blotted with CD36 antibody [C1C3] (GTX100642) diluted at 1:500. The HRP-conjugated anti-rabbit IgG antibody (GTX213110-01) was used to detect the primary antibody.](https://www.genetex.com/upload/website/prouct_img/normal/GTX100642/GTX100642_42298_20230616_WB_M_tissue_23062019_839.webp)







