CFAP45 / CCDC19 Antibody (aa106-135)
LS-C168409

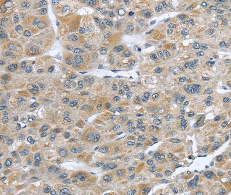
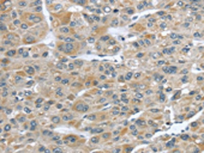
ApplicationsWestern Blot, ImmunoHistoChemistry, ImmunoHistoChemistry Paraffin
Product group Antibodies
TargetCFAP45
Overview
- SupplierLifeSpan BioSciences
- Product NameCFAP45 / CCDC19 Antibody (aa106-135)
- Delivery Days Customer23
- ApplicationsWestern Blot, ImmunoHistoChemistry, ImmunoHistoChemistry Paraffin
- Applications SupplierIHC, IHC-P (1:50 - 1:100), WB (1:1000)
- CertificationResearch Use Only
- ClonalityPolyclonal
- ConjugateUnconjugated
- Estimated Purity...
- Gene ID25790
- Target nameCFAP45
- Target descriptioncilia and flagella associated protein 45
- Target synonymsCCDC19; cilia- and flagella-associated protein 45; coiled-coil domain containing 19; coiled-coil domain-containing protein 19, mitochondrial; nasopharyngeal epithelium specific protein 1 (NESG1); nasopharyngeal epithelium-specific protein 1; NESG1; protein CFAP45, mitochondrial
- HostRabbit
- Storage Instruction-20°C,2°C to 8°C
- UNSPSC12352203