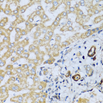
Immunohistochemistry of paraffin-embedded Human liver using CSH1 Polyclonal Antibody at dilution of 1:100 (40x lens).
CSH1 Polyclonal Antibody
E-AB-60531
Product group Antibodies
Overview
- SupplierElabscience
- Product NameCSH1 Polyclonal Antibody
- Delivery Days Customer12
- CertificationResearch Use Only
- Scientific DescriptionThe protein encoded by this gene is a member of the somatotropin/prolactin family of hormones and plays an important role in growth control. The gene is located at the growth hormone locus on chromosome 17 along with four other related genes in the same transcriptional orientation; an arrangement which is thought to have evolved by a series of gene duplications. Although the five genes share a remarkably high degree of sequence identity, they are expressed selectively in different tissues. Alternative splicing generates additional isoforms of each of the five growth hormones, leading to further diversity and potential for specialization. This particular family member is expressed mainly in the placenta and utilizes multiple transcription initiation sites. Expression of the identical mature proteins for chorionic somatomammotropin hormones 1 and 2 is upregulated during development, although the ratio of 1 to 2 increases by term. Mutations in this gene result in placental lactogen deficiency and Silver-Russell syndrome.
- UNSPSC12352203






