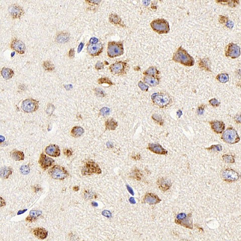
Immunohistochemistry analysis of paraffin-embedded mouse brain using DCX Polyclonal Antibody at dilution of 1:400.
DCX Polyclonal Antibody
E-AB-70186
Product group Antibodies
Overview
- SupplierElabscience
- Product NameDCX Polyclonal Antibody
- Delivery Days Customer12
- CertificationResearch Use Only
- Scientific DescriptionThis gene encodes a member of the doublecortin family. The protein encoded by this gene is a cytoplasmic protein and contains two doublecortin domains, which bind microtubules. In the developing cortex, cortical neurons must migrate over long distances to reach the site of their final differentiation. The encoded protein appears to direct neuronal migration by regulating the organization and stability of microtubules. In addition, the encoded protein interacts with LIS1, the regulatory gamma subunit of platelet activating factor acetylhydrolase, and this interaction is important to proper microtubule function in the developing cortex. Mutations in this gene cause abnormal migration of neurons during development and disrupt the layering of the cortex, leading to epilepsy, cognitive disability, subcortical band heterotopia (double cortex syndrome) in females and lissencephaly (smooth brain syndrome) in males. Multiple transcript variants encoding different isoforms have been found for this gene.
- UNSPSC12352203





