![ERR alpha antibody [N1], N-term detects ERR alpha protein at nucleus by immunofluorescent analysis. Sample: MCF-7 cells were fixed in 4% paraformaldehyde at RT for 15 min. Green: ERR alpha stained by ERR alpha antibody [N1], N-term (GTX108166) diluted at 1:500. Red: alpha Tubulin, a cytoskeleton marker, stained by alpha Tubulin antibody [GT114] (GTX628802) diluted at 1:1000. ERR alpha antibody [N1], N-term detects ERR alpha protein at nucleus by immunofluorescent analysis. Sample: MCF-7 cells were fixed in 4% paraformaldehyde at RT for 15 min. Green: ERR alpha stained by ERR alpha antibody [N1], N-term (GTX108166) diluted at 1:500. Red: alpha Tubulin, a cytoskeleton marker, stained by alpha Tubulin antibody [GT114] (GTX628802) diluted at 1:1000.](https://www.genetex.com/upload/website/prouct_img/normal/GTX108166/GTX108166_44587_20220708_ICC_IF_22071401_961.webp)
ERR alpha antibody [N1], N-term detects ERR alpha protein at nucleus by immunofluorescent analysis. Sample: MCF-7 cells were fixed in 4% paraformaldehyde at RT for 15 min. Green: ERR alpha stained by ERR alpha antibody [N1], N-term (GTX108166) diluted at 1:500. Red: alpha Tubulin, a cytoskeleton marker, stained by alpha Tubulin antibody [GT114] (GTX628802) diluted at 1:1000.
ERR alpha antibody [N1], N-term
GTX108166
ApplicationsImmunoFluorescence, ImmunoPrecipitation, Western Blot, ChIP Chromatin ImmunoPrecipitation, ImmunoCytoChemistry, ImmunoHistoChemistry, ImmunoHistoChemistry Paraffin
Product group Antibodies
ReactivityHuman, Mouse, Rat
TargetESRRA
Overview
- SupplierGeneTex
- Product NameERR alpha antibody [N1], N-term
- Delivery Days Customer9
- Application Supplier NoteWB: 1:500-1:3000. IHC-P: 1:100-1:1000. IP: 1:100-1:500. *Optimal dilutions/concentrations should be determined by the researcher.Not tested in other applications.
- ApplicationsImmunoFluorescence, ImmunoPrecipitation, Western Blot, ChIP Chromatin ImmunoPrecipitation, ImmunoCytoChemistry, ImmunoHistoChemistry, ImmunoHistoChemistry Paraffin
- CertificationResearch Use Only
- ClonalityPolyclonal
- Concentration1.68 mg/ml
- ConjugateUnconjugated
- Gene ID2101
- Target nameESRRA
- Target descriptionestrogen related receptor alpha
- Target synonymsERR1, ERRa, ERRalpha, ESRL1, NR3B1, steroid hormone receptor ERR1, ERR-alpha, estrogen receptor-like 1, estrogen-related nuclear receptor alpha, nuclear receptor subfamily 3 group B member 1
- HostRabbit
- IsotypeIgG
- Protein IDP11474
- Protein NameSteroid hormone receptor ERR1
- Scientific DescriptionThe protein encoded by this gene is a nuclear receptor that is closely related to the estrogen receptor. This protein acts as a site-specific transcription regulator and has been also shown to interact with estrogen and the transcripton factor TFIIB by direct protein-protein contact. The binding and regulatory activities of this protein have been demonstrated in the regulation of a variety of genes including lactoferrin, osteopontin, medium-chain acyl coenzyme A dehydrogenase (MCAD) and thyroid hormone receptor genes. A processed pseudogene of ESRRA is located on chromosome 13q12.1. [provided by RefSeq]
- ReactivityHuman, Mouse, Rat
- Storage Instruction-20°C or -80°C,2°C to 8°C
- UNSPSC41116161

![Whole cell extract (30 μg) was separated by 10% SDS-PAGE, and the membrane was blotted with ERR alpha antibody [N1], N-term (GTX108166) diluted at 1:500. The HRP-conjugated anti-rabbit IgG antibody (GTX213110-01) was used to detect the primary antibody, and the signal was developed with Trident ECL plus-Enhanced. Whole cell extract (30 μg) was separated by 10% SDS-PAGE, and the membrane was blotted with ERR alpha antibody [N1], N-term (GTX108166) diluted at 1:500. The HRP-conjugated anti-rabbit IgG antibody (GTX213110-01) was used to detect the primary antibody, and the signal was developed with Trident ECL plus-Enhanced.](https://www.genetex.com/upload/website/prouct_img/normal/GTX108166/GTX108166_39764_20191004_WB_R_w_23060120_680.webp)

![Whole cell extract (30 μg) was separated by 10% SDS-PAGE, and the membrane was blotted with ERR alpha antibody [N1], N-term (GTX108166) diluted at 1:500. The HRP-conjugated anti-rabbit IgG antibody (GTX213110-01) was used to detect the primary antibody. Whole cell extract (30 μg) was separated by 10% SDS-PAGE, and the membrane was blotted with ERR alpha antibody [N1], N-term (GTX108166) diluted at 1:500. The HRP-conjugated anti-rabbit IgG antibody (GTX213110-01) was used to detect the primary antibody.](https://www.genetex.com/upload/website/prouct_img/normal/GTX108166/GTX108166_39764_20191004_WB_M_w_23060120_824.webp)

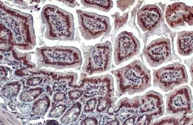
![ERR alpha antibody [N1], N-term detects ERR alpha protein at cytoplasm and nucleus by immunohistochemical analysis. Sample: Paraffin-embedded mouse intestine. ERR alpha stained by ERR alpha antibody [N1], N-term (GTX108166) diluted at 1:500. Antigen Retrieval: Citrate buffer, pH 6.0, 15 min ERR alpha antibody [N1], N-term detects ERR alpha protein at cytoplasm and nucleus by immunohistochemical analysis. Sample: Paraffin-embedded mouse intestine. ERR alpha stained by ERR alpha antibody [N1], N-term (GTX108166) diluted at 1:500. Antigen Retrieval: Citrate buffer, pH 6.0, 15 min](https://www.genetex.com/upload/website/prouct_img/normal/GTX108166/GTX108166_44587_20220325_IHC-P_M_1_w_23060120_285.webp)
![Various whole cell extracts (30 μg) were separated by 10% SDS-PAGE, and the membrane was blotted with ERR alpha antibody [N1], N-term (GTX108166) diluted at 1:1000. The HRP-conjugated anti-rabbit IgG antibody (GTX213110-01) was used to detect the primary antibody. Various whole cell extracts (30 μg) were separated by 10% SDS-PAGE, and the membrane was blotted with ERR alpha antibody [N1], N-term (GTX108166) diluted at 1:1000. The HRP-conjugated anti-rabbit IgG antibody (GTX213110-01) was used to detect the primary antibody.](https://www.genetex.com/upload/website/prouct_img/normal/GTX108166/GTX108166_44587_20220218_WB_w_23060120_635.webp)
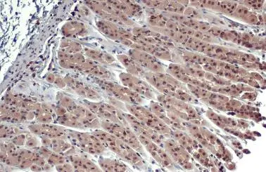
![ERR alpha antibody [N1], N-term detects ERR alpha protein at cytoplasm and nucleus by immunohistochemical analysis. Sample: Paraffin-embedded mouse stomach. ERR alpha stained by ERR alpha antibody [N1], N-term (GTX108166) diluted at 1:500. Antigen Retrieval: Citrate buffer, pH 6.0, 15 min ERR alpha antibody [N1], N-term detects ERR alpha protein at cytoplasm and nucleus by immunohistochemical analysis. Sample: Paraffin-embedded mouse stomach. ERR alpha stained by ERR alpha antibody [N1], N-term (GTX108166) diluted at 1:500. Antigen Retrieval: Citrate buffer, pH 6.0, 15 min](https://www.genetex.com/upload/website/prouct_img/normal/GTX108166/GTX108166_44587_20220325_IHC-P_M_w_23060120_882.webp)
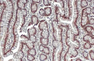
![ERR alpha antibody [N1], N-term detects ERR alpha protein at nucleus by immunohistochemical analysis. Sample: Paraffin-embedded rat colon. ERR alpha stained by ERR alpha antibody [N1], N-term (GTX108166) diluted at 1:500. Antigen Retrieval: Citrate buffer, pH 6.0, 15 min ERR alpha antibody [N1], N-term detects ERR alpha protein at nucleus by immunohistochemical analysis. Sample: Paraffin-embedded rat colon. ERR alpha stained by ERR alpha antibody [N1], N-term (GTX108166) diluted at 1:500. Antigen Retrieval: Citrate buffer, pH 6.0, 15 min](https://www.genetex.com/upload/website/prouct_img/normal/GTX108166/GTX108166_44587_20220325_IHC-P_R_w_23060120_485.webp)








