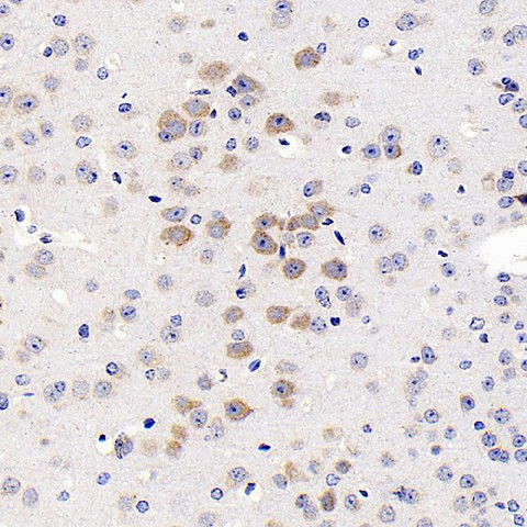
Immunohistochemistry analysis of paraffin-embedded mouse brain using GRIN2B Polyclonal Antibody at dilution of 1:200.
GRIN2B Polyclonal Antibody
E-AB-70263
Product group Antibodies
Overview
- SupplierElabscience
- Product NameGRIN2B Polyclonal Antibody
- Delivery Days Customer12
- CertificationResearch Use Only
- Scientific DescriptionN-methyl-D-aspartate (NMDA) receptors are a class of ionotropic glutamate receptors. NMDA receptor channel has been shown to be involved in long-term potentiation, an activity-dependent increase in the efficiency of synaptic transmission thought to underlie certain kinds of memory and learning. NMDA receptor channels are heteromers composed of three different subunits: NR1 (GRIN1), NR2 (GRIN2A, GRIN2B, GRIN2C, or GRIN2D) and NR3 (GRIN3A or GRIN3B). The NR2 subunit acts as the agonist binding site for glutamate. This receptor is the predominant excitatory neurotransmitter receptor in the mammalian brain.
- UNSPSC12352203




![NMDAR2B antibody [C2C3], C-term detects NMDAR2B protein by immunofluorescent analysis. Sample: DIV14 rat E18 primary cortical neurons were fixed in 4% paraformaldehyde at RT for 15 min. Green: NMDAR2B protein stained by NMDAR2B antibody [C2C3], C-term (GTX109713) diluted at 1:500. Red: beta Tubulin 3/ Tuj1, stained by beta Tubulin 3/ Tuj1 antibody [GT1338] (GTX631831) diluted at 1:500. Blue: Fluoroshield with DAPI (GTX30920).](https://www.genetex.com/upload/website/prouct_img/normal/GTX109713/GTX109713_40023_20170719_IFA_R_w_23060500_300.webp)