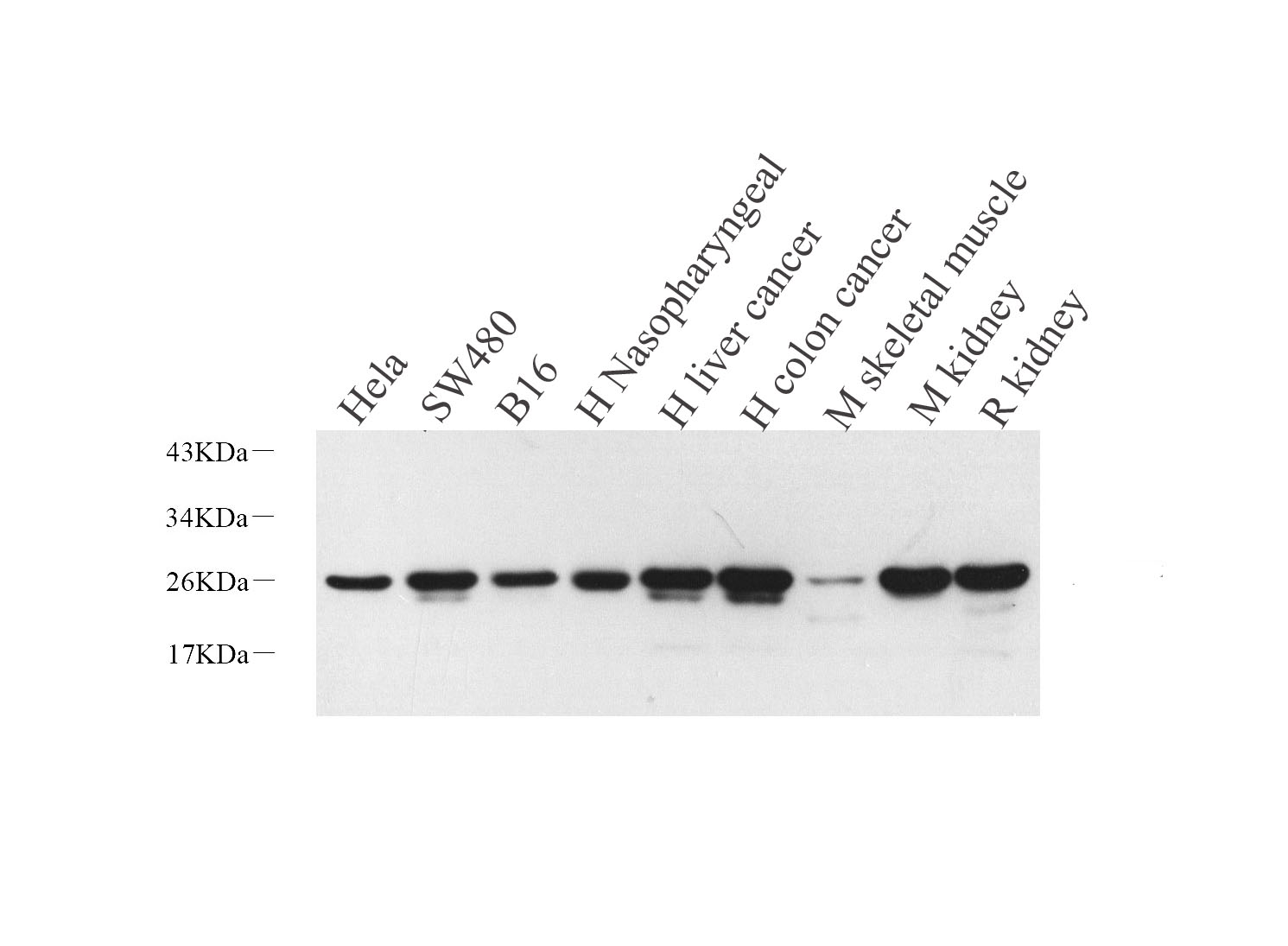
Western Blot analysis of various samples using HMGB1 Polyclonal Antibody at dilution of 1:1000.
HMGB1 Polyclonal Antibody
E-AB-70044
ApplicationsImmunoFluorescence, Western Blot, ImmunoHistoChemistry
Product group Antibodies
TargetHMGB1
Overview
- SupplierElabscience
- Product NameHMGB1 Polyclonal Antibody
- Delivery Days Customer12
- ApplicationsImmunoFluorescence, Western Blot, ImmunoHistoChemistry
- CertificationResearch Use Only
- ClonalityPolyclonal
- Concentration1.45 mg/ml
- ConjugateUnconjugated
- Gene ID3146
- Target nameHMGB1
- Target descriptionhigh mobility group box 1
- Target synonymsHMG-1, HMG1, HMG3, SBP-1, high mobility group protein B1, Amphoterin, Sulfoglucuronyl carbohydrate binding protein, high-mobility group (nonhistone chromosomal) protein 1
- HostRabbit
- IsotypeIgG
- Protein IDP09429
- Protein NameHigh mobility group protein B1
- Scientific DescriptionHigh mobility group (HMG) proteins 1 and 2 are ubiquitous non-histone components of chromatin. Evidence suggests that the binding of HMG proteins to DNA induces alterations in the DNA architecture including DNA bending and unwinding of the helix. HMG proteins synergize with Oct-2, members of the NFB family, ATF-2 and c-Jun to activate transcription. Other studies indicate that phosphorylation of HMG protein is required to stimulate the transcriptional activity of the protein. Human HMG-1 and HMG-2 both contain two DNA-binding domains, termed HMG boxes. HMG proteins bind single-stranded DNA but induce conformational changes in double-stranded DNA alone.
- Storage Instruction-20°C
- UNSPSC41116161







