
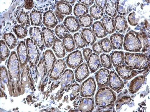
hnRNP K antibody detects hnRNP K protein at nucleus on mouse colon by immunohistochemical analysis. Sample: Paraffin-embedded mouse colon. hnRNP K antibody (GTX101786) dilution: 1:500.
Antigen Retrieval: Trilogy? (EDTA based, pH 8.0) buffer, 15min
hnRNP K antibody
GTX101786
ApplicationsImmunoFluorescence, Western Blot, ImmunoCytoChemistry, ImmunoHistoChemistry, ImmunoHistoChemistry Paraffin
Product group Antibodies
ReactivityHuman, Mouse, Rat
TargetHNRNPK
Overview
- SupplierGeneTex
- Product NamehnRNP K antibody
- Delivery Days Customer9
- Application Supplier NoteWB: 1:500-1:3000. ICC/IF: 1:100-1:1000. IHC-P: 1:100-1:1000. *Optimal dilutions/concentrations should be determined by the researcher.Not tested in other applications.
- ApplicationsImmunoFluorescence, Western Blot, ImmunoCytoChemistry, ImmunoHistoChemistry, ImmunoHistoChemistry Paraffin
- CertificationResearch Use Only
- ClonalityPolyclonal
- Concentration0.18 mg/ml
- ConjugateUnconjugated
- Gene ID3190
- Target nameHNRNPK
- Target descriptionheterogeneous nuclear ribonucleoprotein K
- Target synonymsAUKS, CSBP, HNRPK, TUNP, heterogeneous nuclear ribonucleoprotein K, dC-stretch binding protein, transformation upregulated nuclear protein
- HostRabbit
- IsotypeIgG
- Protein IDP61978
- Protein NameHeterogeneous nuclear ribonucleoprotein K
- Scientific DescriptionThis gene belongs to the subfamily of ubiquitously expressed heterogeneous nuclear ribonucleoproteins (hnRNPs). The hnRNPs are RNA binding proteins and they complex with heterogeneous nuclear RNA (hnRNA). These proteins are associated with pre-mRNAs in the nucleus and appear to influence pre-mRNA processing and other aspects of mRNA metabolism and transport. While all of the hnRNPs are present in the nucleus, some seem to shuttle between the nucleus and the cytoplasm. The hnRNP proteins have distinct nucleic acid binding properties. The protein encoded by this gene is located in the nucleoplasm and has three repeats of KH domains that binds to RNAs. It is distinct among other hnRNP proteins in its binding preference; it binds tenaciously to poly(C). This protein is also thought to have a role during cell cycle progession. Several alternatively spliced transcript variants have been described for this gene, however, not all of them are fully characterized. [provided by RefSeq]
- ReactivityHuman, Mouse, Rat
- Storage Instruction-20°C or -80°C,2°C to 8°C
- UNSPSC12352203
References
- Zhang K, Miorin L, Makio T, et al. Nsp1 protein of SARS-CoV-2 disrupts the mRNA export machinery to inhibit host gene expression. Sci Adv. 2021,7(6). doi: 10.1126/sciadv.abe7386Read this paper
- Thompson MG, Dittmar M, Mallory MJ, et al. Viral-induced alternative splicing of host genes promotes influenza replication. Elife. 2020,9. doi: 10.7554/eLife.55500Read this paper
- Chou HC, Lu CH, Su YC, et al. Proteomic analysis of honokiol-induced cytotoxicity in thyroid cancer cells. Life Sci. 2018,207:184-204. doi: 10.1016/j.lfs.2018.06.002Read this paper
- Sundararaman B, Zhan L, Blue SM, et al. Resources for the Comprehensive Discovery of Functional RNA Elements. Mol Cell. 2016,61(6):903-13. doi: 10.1016/j.molcel.2016.02.012Read this paper











![ICC/IF analysis of HeLa cells using GTX15882 hnRNP K antibody [F45 P9 C7]. Panel e is a no primary antibody control. Green : Primary antibody Blue : Nuclei Red : Actin Fixation : 4% paraformaldehyde Permeabilization : 0.1% Triton X-100 for 10 minute Dilution : 5 μg/ml in 0.1% BSA and incubated for 3 hours at room temperature](https://www.genetex.com/upload/website/prouct_img/normal/GTX15882/GTX15882_346_ICC-IF_w_23060620_816.webp)


