
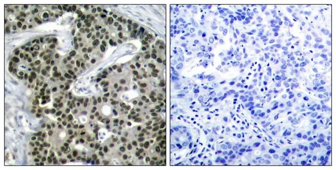
IHC-P analysis of human breast carcinoma tissue using GTX50288 HSF1 (phospho Ser303) antibody. Left : Primary antibody Right : Primary antibody pre-incubated with the antigen specific peptide
HSF1 (phospho Ser303) antibody
GTX50288
ApplicationsWestern Blot, ImmunoHistoChemistry, ImmunoHistoChemistry Paraffin
Product group Antibodies
TargetHSF1
Overview
- SupplierGeneTex
- Product NameHSF1 (phospho Ser303) antibody
- Delivery Days Customer9
- Application Supplier NoteWB: 1:500-1:1000. IHC-P: 1:50-1:100. *Optimal dilutions/concentrations should be determined by the researcher.Not tested in other applications.
- ApplicationsWestern Blot, ImmunoHistoChemistry, ImmunoHistoChemistry Paraffin
- CertificationResearch Use Only
- ClonalityPolyclonal
- Concentration1 mg/ml
- ConjugateUnconjugated
- Gene ID3297
- Target nameHSF1
- Target descriptionheat shock transcription factor 1
- Target synonymsHSTF1, heat shock factor protein 1
- HostRabbit
- IsotypeIgG
- Protein IDQ00613
- Protein NameHeat shock factor protein 1
- Scientific DescriptionThe product of this gene is a transcription factor that is rapidly induced after temperature stress and binds heat shock promoter elements (HSE). This protein plays a role in the regulation of lifespan. Expression of this gene is repressed by phosphorylation, which promotes binding by heat shock protein 90. [provided by RefSeq, Jul 2017]
- Storage Instruction-20°C or -80°C,2°C to 8°C
- UNSPSC12352203






