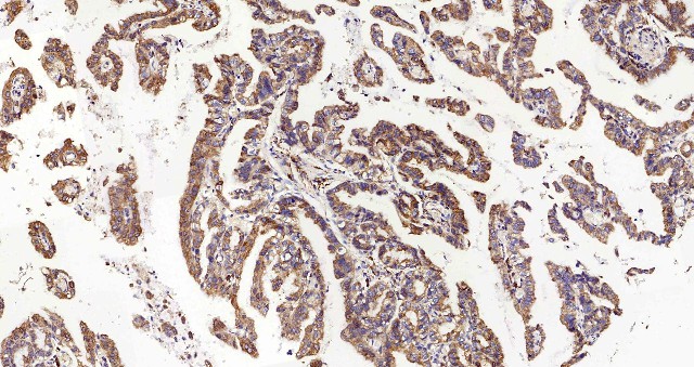
Immunohistochemistry analysis of paraffin-embedded human stomach cancer using HSPA5 Polyclonal Antibody at dilution of 1:300.
HSPA5 Polyclonal Antibody
E-AB-70041
Product group Antibodies
Overview
- SupplierElabscience
- Product NameHSPA5 Polyclonal Antibody
- Delivery Days Customer12
- CertificationResearch Use Only
- Scientific DescriptionThe protein encoded by this gene is a member of the heat shock protein 70 (HSP70) family. It is localized in the lumen of the endoplasmic reticulum (ER), and is involved in the folding and assembly of proteins in the ER. As this protein interacts with many ER proteins, it may play a key role in monitoring protein transport through the cell.
- UNSPSC12352203





