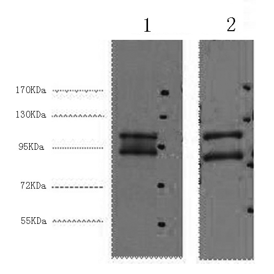
Western Blot analysis of 1) Hela, 2) HepG2 cells using IDE Monoclonal Antibody at dilution of 1:2000.
IDE Monoclonal Antibody
E-AB-22041
ApplicationsImmunoFluorescence, Western Blot, ImmunoHistoChemistry, ImmunoHistoChemistry Paraffin
Product group Antibodies
TargetIDE
Overview
- SupplierElabscience
- Product NameIDE Monoclonal Antibody
- Delivery Days Customer12
- ApplicationsImmunoFluorescence, Western Blot, ImmunoHistoChemistry, ImmunoHistoChemistry Paraffin
- CertificationResearch Use Only
- ClonalityMonoclonal
- Clone IDClone:1H4
- Concentration1 mg/ml
- ConjugateUnconjugated
- Gene ID3416
- Target nameIDE
- Target descriptioninsulin degrading enzyme
- Target synonymsINSULYSIN, insulin-degrading enzyme, Abeta-degrading protease, insulin protease, insulinase
- HostMouse
- IsotypeIgG
- Protein IDP14735
- Protein NameInsulin-degrading enzyme
- Scientific DescriptionThis gene encodes a zinc metallopeptidase that degrades intracellular insulin, and thereby terminates insulins activity, as well as participating in intercellular peptide signalling by degrading diverse peptides such as glucagon, amylin, bradykinin, and kallidin. The preferential affinity of this enzyme for insulin results in insulin-mediated inhibition of the degradation of other peptides such as beta-amyloid. Deficiencies in this proteins function are associated with Alzheimers disease and type 2 diabetes mellitus but mutations in this gene have not been shown to be causitive for these diseases. This protein localizes primarily to the cytoplasm but in some cell types localizes to the extracellular space, cell membrane, peroxisome, and mitochondrion. Alternative splicing results in multiple transcript variants encoding distinct isoforms. Additional transcript variants have been described but have not been experimentally verified.
- Storage Instruction-20°C
- UNSPSC41116161






