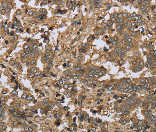
Immunohistochemistry of paraffin-embedded Human liver cancer tissue using IKBIP Polyclonal Antibody at dilution 1:30
IKBIP Polyclonal Antibody
E-AB-15128
Product group Antibodies
Overview
- SupplierElabscience
- Product NameIKBIP Polyclonal Antibody
- Delivery Days Customer12
- Applications SupplierELISA IHC
- CertificationResearch Use Only
- Concentration0.4mg/ml
- Scientific DescriptionIKIP (Inhibitor of nuclear factor kappa-B kinase-interacting protein, IKK-interacting protein) is a single-pass membrane protein that shares a common promoter with APAF1. APAF1 and IKIP are both induced by X irradiation, however, the two gene products are transcribed in different directions. The IKIP gene is believed to be a target for p53 as expression of IKIP has been shown to promote apoptosis. IKIP has four known isoforms, three of which are found traversing the endoplasmic reticulum membrane. IKIP isoform 4 has a deletion of the transmembrane region which leads to a homogenous distribution of the protein within the cell. The IKIP gene products are expressed in vascular endothelial cells, while the isoform 4 has also been detected in lung, kidney, spleen, thymus and skeletal muscle.
- UNSPSC12352203




