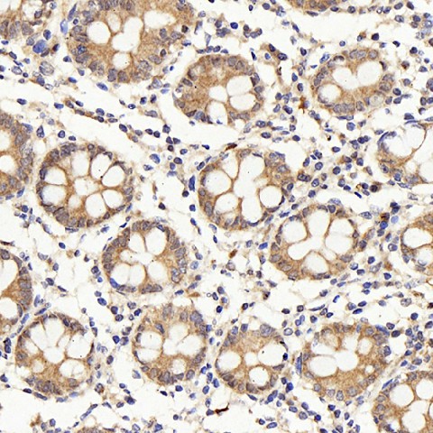
Immunohistochemistry analysis of paraffin-embedded human colon using IL22RA1 Polyclonal Antibody at dilution of 1:200.
IL22RA1 Polyclonal Antibody
E-AB-70163
Product group Antibodies
Overview
- SupplierElabscience
- Product NameIL22RA1 Polyclonal Antibody
- Delivery Days Customer12
- CertificationResearch Use Only
- Scientific DescriptionThe protein encoded by this gene belongs to the class II cytokine receptor family, and has been shown to be a receptor for interleukin 22 (IL22). IL22 receptor is a protein complex that consists of this protein and interleukin 10 receptor, beta (IL10BR/CRFB4), a subunit also shared by the receptor complex for interleukin 10 (IL10). This gene and interleukin 28 receptor, alpha (IL28RA) form a cytokine receptor gene cluster in the chromosomal region 1p36.
- UNSPSC12352203





