
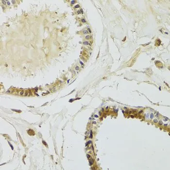
IHC-P analysis of human breast tissue using GTX33280 Kallikrein 10 antibody. Dilution : 1:100
Kallikrein 10 antibody
GTX33280
ApplicationsImmunoFluorescence, Western Blot, ImmunoCytoChemistry, ImmunoHistoChemistry, ImmunoHistoChemistry Paraffin
Product group Antibodies
ReactivityHuman, Mouse, Rat
TargetKLK10
Overview
- SupplierGeneTex
- Product NameKallikrein 10 antibody
- Delivery Days Customer9
- Application Supplier NoteWB: 1:500 - 1:2000. ICC/IF: 1:50 - 1:100. IHC-P: 1:50 - 1:200. *Optimal dilutions/concentrations should be determined by the researcher.Not tested in other applications.
- ApplicationsImmunoFluorescence, Western Blot, ImmunoCytoChemistry, ImmunoHistoChemistry, ImmunoHistoChemistry Paraffin
- CertificationResearch Use Only
- ClonalityPolyclonal
- ConjugateUnconjugated
- Gene ID5655
- Target nameKLK10
- Target descriptionkallikrein related peptidase 10
- Target synonymsNES1, PRSSL1, kallikrein-10, breast normal epithelial cell associated serine protease, kallikrein 10 protein 1, kallikrein 10 protein 12, kallikrein 10 protein 13, kallikrein 10 protein 2, kallikrein 10 protein 3, kallikrein 10 protein 4, kallikrein 10 protein 5, kallikrein 10 protein 7, kallikrein 10 protein 8, kallikrein 10 protein 9, normal epithelial cell-specific 1, protease serine-like 1
- HostRabbit
- IsotypeIgG
- Protein IDO43240
- Protein NameKallikrein-10
- Scientific DescriptionKallikreins are a subgroup of serine proteases having diverse physiological functions. Growing evidence suggests that many kallikreins are implicated in carcinogenesis and some have potential as novel cancer and other disease biomarkers. This gene is one of the fifteen kallikrein subfamily members located in a cluster on chromosome 19. Its encoded protein is secreted and may play a role in suppression of tumorigenesis in breast and prostate cancers. Alternate splicing of this gene results in multiple transcript variants encoding the same protein. [provided by RefSeq, Jul 2008]
- ReactivityHuman, Mouse, Rat
- Storage Instruction-20°C or -80°C,2°C to 8°C
- UNSPSC41116161








