
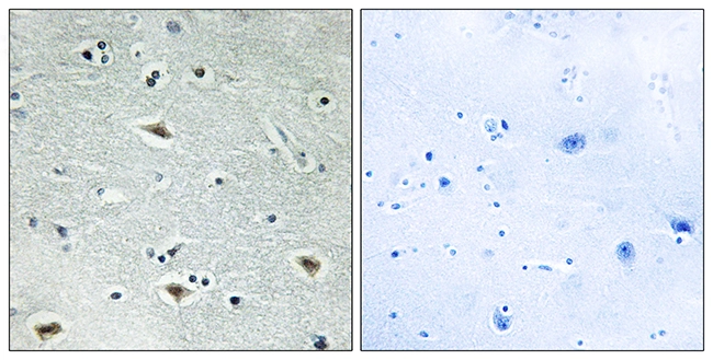
IHC-P analysis of human brain tissue using GTX87954 MTG16 antibody. The picture on the right is blocked with the synthesized peptide.
MTG16 antibody
GTX87954
ApplicationsImmunoHistoChemistry, ImmunoHistoChemistry Paraffin
Product group Antibodies
ReactivityHuman
TargetCBFA2T3
Overview
- SupplierGeneTex
- Product NameMTG16 antibody
- Delivery Days Customer9
- Application Supplier NoteIHC-P: 1:50~1:100. *Optimal dilutions/concentrations should be determined by the researcher.Not tested in other applications.
- ApplicationsImmunoHistoChemistry, ImmunoHistoChemistry Paraffin
- CertificationResearch Use Only
- ClonalityPolyclonal
- ConjugateUnconjugated
- Gene ID863
- Target nameCBFA2T3
- Target descriptionCBFA2/RUNX1 partner transcriptional co-repressor 3
- Target synonymsETO2, MTG16, MTGR2, RUNX1T3, ZMYND4, protein CBFA2T3, CBFA2/RUNX1 translocation partner 3, MTG8-related gene 2, MTG8-related protein 2, core-binding factor, runt domain, alpha subunit 2; translocated to, 3, myeloid translocation gene 8 and 16b, myeloid translocation gene on chromosome 16 protein, zinc finger MYND domain-containing protein 4
- HostRabbit
- IsotypeIgG
- Protein IDO75081
- Protein NameProtein CBFA2T3
- Scientific DescriptionThis gene encodes a member of the myeloid translocation gene family which interact with DNA-bound transcription factors and recruit a range of corepressors to facilitate transcriptional repression. The t(16;21)(q24;q22) translocation is one of the less common karyotypic abnormalities in acute myeloid leukemia. The translocation produces a chimeric gene made up of the 5-region of the runt-related transcription factor 1 gene fused to the 3-region of this gene. This gene is also a putative breast tumor suppressor. Alternative splicing results in transcript variants. [provided by RefSeq, Nov 2010]
- ReactivityHuman
- Storage Instruction-20°C or -80°C,2°C to 8°C
- UNSPSC41116161






