![ELISA analysis of antigen using GTX60449 OTX2 antibody [1H12G8B2].
Red : Control antigen 100ng
Purple : Antigen 10ng
Green : Antigen 50ng
Blue : Antigen 100ng ELISA analysis of antigen using GTX60449 OTX2 antibody [1H12G8B2].
Red : Control antigen 100ng
Purple : Antigen 10ng
Green : Antigen 50ng
Blue : Antigen 100ng](https://www.genetex.com/upload/website/prouct_img/normal/GTX60449/GTX60449_20170912_ELISA_w_23061123_282.webp)
ELISA analysis of antigen using GTX60449 OTX2 antibody [1H12G8B2].
Red : Control antigen 100ng
Purple : Antigen 10ng
Green : Antigen 50ng
Blue : Antigen 100ng
OTX2 antibody [1H12G8B2]
GTX60449
ApplicationsImmunoFluorescence, Western Blot, ELISA, ImmunoCytoChemistry, ImmunoHistoChemistry, ImmunoHistoChemistry Paraffin
Product group Antibodies
ReactivityHuman
TargetOTX2
Overview
- SupplierGeneTex
- Product NameOTX2 antibody [1H12G8B2]
- Delivery Days Customer9
- Application Supplier NoteWB: 1/500 - 1/2000. ICC/IF: 1/200 - 1/1000. IHC-P: 1/200 - 1/1000. ELISA: 1/10000. *Optimal dilutions/concentrations should be determined by the researcher.Not tested in other applications.
- ApplicationsImmunoFluorescence, Western Blot, ELISA, ImmunoCytoChemistry, ImmunoHistoChemistry, ImmunoHistoChemistry Paraffin
- CertificationResearch Use Only
- ClonalityMonoclonal
- Clone ID1H12G8B2
- ConjugateUnconjugated
- Gene ID5015
- Target nameOTX2
- Target descriptionorthodenticle homeobox 2
- Target synonymsCPHD6, MCOPS5, homeobox protein OTX2, orthodenticle homolog 2
- HostMouse
- IsotypeIgG1
- Protein IDP32243
- Protein NameHomeobox protein OTX2
- Scientific DescriptionThis gene encodes a member of the bicoid subfamily of homeodomain-containing transcription factors. The encoded protein acts as a transcription factor and plays a role in brain, craniofacial, and sensory organ development. The encoded protein also influences the proliferation and differentiation of dopaminergic neuronal progenitor cells during mitosis. Mutations in this gene cause syndromic microphthalmia 5 (MCOPS5) and combined pituitary hormone deficiency 6 (CPHD6). This gene is also suspected of having an oncogenic role in medulloblastoma. Alternative splicing results in multiple transcript variants encoding distinct isoforms. Pseudogenes of this gene are known to exist on chromosomes two and nine. [provided by RefSeq, Jul 2012]
- ReactivityHuman
- Storage Instruction-20°C or -80°C,2°C to 8°C
- UNSPSC41116161
![ICC/IF analysis of U251 cells using GTX60449 OTX2 antibody [1H12G8B2]. Green : OTX2 Red: Actin filaments ICC/IF analysis of U251 cells using GTX60449 OTX2 antibody [1H12G8B2]. Green : OTX2 Red: Actin filaments](https://www.genetex.com/upload/website/prouct_img/normal/GTX60449/GTX60449_20170912_ICCIF_w_23061123_994.webp)
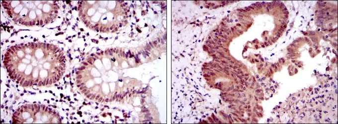
![IHC-P analysis of colon tissue (left) and colon cancer tissue (right) using GTX60449 OTX2 antibody [1H12G8B2]. IHC-P analysis of colon tissue (left) and colon cancer tissue (right) using GTX60449 OTX2 antibody [1H12G8B2].](https://www.genetex.com/upload/website/prouct_img/normal/GTX60449/GTX60449_20170912_IHC-P_w_23061123_876.webp)
![WB analysis of HepG2 (1), Jurkat (2), and NTERA-2 (3) cell lysate using GTX60449 OTX2 antibody [1H12G8B2]. WB analysis of HepG2 (1), Jurkat (2), and NTERA-2 (3) cell lysate using GTX60449 OTX2 antibody [1H12G8B2].](https://www.genetex.com/upload/website/prouct_img/normal/GTX60449/GTX60449_20170912_WB_w_23061123_927.webp)
![IHC-P analysis of human stomach tissue (left) and brain tissue (right) using GTX60449 OTX2 antibody [1H12G8B2]. IHC-P analysis of human stomach tissue (left) and brain tissue (right) using GTX60449 OTX2 antibody [1H12G8B2].](https://www.genetex.com/upload/website/prouct_img/normal/GTX60449/GTX60449_20170912_IHC-P_1_w_23061123_816.webp)
![WB analysis of human OTX2 (AA: 40-297) recombinant protein using GTX60449 OTX2 antibody [1H12G8B2]. WB analysis of human OTX2 (AA: 40-297) recombinant protein using GTX60449 OTX2 antibody [1H12G8B2].](https://www.genetex.com/upload/website/prouct_img/normal/GTX60449/GTX60449_20170912_WB_1_w_23061123_619.webp)







![ICC/IF analysis of HepG2 cells using GTX60448 OTX2 antibody [1H12C4B5]. Green : OTX2 Red: Actin filaments](https://www.genetex.com/upload/website/prouct_img/normal/GTX60448/GTX60448_20170912_ICCIF_w_23061123_465.webp)