
Immunofluorescence analysis of methanol-fixed HeLa, using PTPRH(GTX119064) antibody at 1:500 dilution.
PTPRH antibody [C2C3], C-term
GTX119064
ApplicationsImmunoFluorescence, Western Blot, ImmunoCytoChemistry, ImmunoHistoChemistry, ImmunoHistoChemistry Paraffin
Product group Antibodies
ReactivityHuman, Rat
TargetPTPRH
Overview
- SupplierGeneTex
- Product NamePTPRH antibody [C2C3], C-term
- Delivery Days Customer9
- Application Supplier NoteWB: 1:500-1:3000. ICC/IF: 1:100-1:1000. IHC-P: 1:100-1:1000. *Optimal dilutions/concentrations should be determined by the researcher.Not tested in other applications.
- ApplicationsImmunoFluorescence, Western Blot, ImmunoCytoChemistry, ImmunoHistoChemistry, ImmunoHistoChemistry Paraffin
- CertificationResearch Use Only
- ClonalityPolyclonal
- Concentration1 mg/ml
- ConjugateUnconjugated
- Gene ID5794
- Target namePTPRH
- Target descriptionprotein tyrosine phosphatase receptor type H
- Target synonymsR-PTP-H, SAP1, receptor-type tyrosine-protein phosphatase H, stomach cancer-associated protein tyrosine phosphatase 1, transmembrane-type protein-tyrosine phosphatase type H
- HostRabbit
- IsotypeIgG
- Protein IDQ9HD43
- Protein NameReceptor-type tyrosine-protein phosphatase H
- Scientific DescriptionThe protein encoded by this gene is a member of the protein tyrosine phosphatase (PTP) family. PTPs are known to be signaling molecules that regulate a variety of cellular processes including cell growth, differentiation, mitotic cycle, and oncogenic transformation. This PTP possesses an extracellular region, a single transmembrane region, and a single intracytoplasmic catalytic domain, and thus represents a receptor-type PTP. The extracellular region contains eight fibronectin type III-like repeats and multiple N-glycosylation sites. The gene was shown to be expressed primarily in brain and liver, and at a lower level in heart and stomach. It was also found to be expressed in several cancer cell lines, but not in the corresponding normal tissues. [provided by RefSeq]
- ReactivityHuman, Rat
- Storage Instruction-20°C or -80°C,2°C to 8°C
- UNSPSC12352203
References
- Chen FJ, Du LJ, Zeng Z, et al. PTPRH Alleviates Airway Obstruction and Th2 Inflammation in Asthma as a Protective Factor. J Asthma Allergy. 2022,15:133-144. doi: 10.2147/JAA.S340059Read this paper
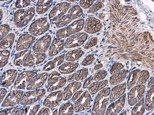
![PTPRH antibody [C2C3], C-term detects PTPRH protein at cytoplasm in rat colon by immunohistochemical analysis. Sample: Paraffin-embedded rat colon. PTPRH antibody [C2C3], C-term (GTX119064) diluted at 1:500.
Antigen Retrieval: Citrate buffer, pH 6.0, 15 min PTPRH antibody [C2C3], C-term detects PTPRH protein at cytoplasm in rat colon by immunohistochemical analysis. Sample: Paraffin-embedded rat colon. PTPRH antibody [C2C3], C-term (GTX119064) diluted at 1:500.
Antigen Retrieval: Citrate buffer, pH 6.0, 15 min](https://www.genetex.com/upload/website/prouct_img/normal/GTX119064/GTX119064_40310_20150717_IHC-P_R_w_23060519_489.webp)



