
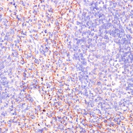
IHC-P analysis of mouse spleen tissue using GTX64554 RAP1A antibody. Dilution : 1:100
RAP1A antibody
GTX64554
ApplicationsWestern Blot, ImmunoHistoChemistry, ImmunoHistoChemistry Paraffin
Product group Antibodies
ReactivityHuman, Mouse, Rat
TargetRAP1A
Overview
- SupplierGeneTex
- Product NameRAP1A antibody
- Delivery Days Customer9
- Application Supplier NoteWB: 1:500 - 1:2000. IHC-P: 1:50 - 1:100. *Optimal dilutions/concentrations should be determined by the researcher.Not tested in other applications.
- ApplicationsWestern Blot, ImmunoHistoChemistry, ImmunoHistoChemistry Paraffin
- CertificationResearch Use Only
- ClonalityPolyclonal
- ConjugateUnconjugated
- Gene ID5906
- Target nameRAP1A
- Target descriptionRAP1A, member of RAS oncogene family
- Target synonymsC21KG, G-22K, KREV-1, KREV1, RAP1, SMGP21, ras-related protein Rap-1A, GTP-binding protein smg p21A, Ras-related protein Krev-1
- HostRabbit
- IsotypeIgG
- Protein IDP62834
- Protein NameRas-related protein Rap-1A
- Scientific DescriptionThis gene encodes a member of the Ras family of small GTPases. The encoded protein undergoes a change in conformational state and activity, depending on whether it is bound to GTP or GDP. This protein is activated by several types of guanine nucleotide exchange factors (GEFs), and inactivated by two groups of GTPase-activating proteins (GAPs). The activation status of the encoded protein is therefore affected by the balance of intracellular levels of GEFs and GAPs. The encoded protein regulates signaling pathways that affect cell proliferation and adhesion, and may play a role in tumor malignancy. Pseudogenes of this gene have been defined on chromosomes 14 and 17. Alternative splicing results in multiple transcript variants. [provided by RefSeq, May 2014]
- ReactivityHuman, Mouse, Rat
- Storage Instruction-20°C or -80°C,2°C to 8°C
- UNSPSC41116161









![Various whole cell extracts (30 μg) were separated by 12% SDS-PAGE, and the membrane was blotted with RAP1A antibody [HL2415] (GTX638637) diluted at 1:1000. The HRP-conjugated anti-rabbit IgG antibody (GTX213110-01) was used to detect the primary antibody.](https://www.genetex.com/upload/website/prouct_img/normal/GTX638637/GTX638637_45271_20231229_WB_24010223_794.webp)
