REXO1 / REX1 Antibody (C-Terminus)
LS-C330058

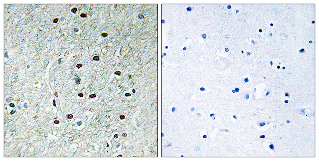
ApplicationsELISA, ImmunoHistoChemistry
Product group Antibodies
TargetREXO1
Overview
- SupplierLifeSpan BioSciences
- Product NameREXO1 / REX1 Antibody (C-Terminus)
- Delivery Days Customer23
- ApplicationsELISA, ImmunoHistoChemistry
- Applications SupplierELISA (1:1000), IHC (1:50 - 1:100)
- CertificationResearch Use Only
- ClonalityPolyclonal
- ConjugateUnconjugated
- Estimated Purity...
- Gene ID57455
- Target nameREXO1
- Target descriptionRNA exonuclease 1 homolog
- Target synonymsELOABP1; EloA-BP1; elongin-A-binding protein 1; REX1; REX1, RNA exonuclease 1 homolog; RNA exonuclease 1 homolog; TCEB3BP1; transcription elongation factor B polypeptide 3-binding protein 1
- HostRabbit
- IsotypeIgG
- Storage Instruction-20°C,2°C to 8°C
- UNSPSC12352203