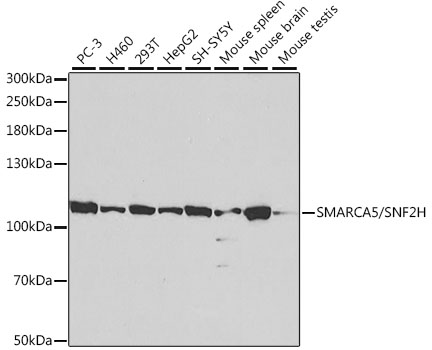
Western blot analysis of extracts of various cell lines using SMARCA5/SNF2H Polyclonal Antibody at 1:1000 dilution.
SMARCA5 Polyclonal Antibody
E-AB-60548
Product group Antibodies
Product E-AB-60548 is not available
Product not available
There may be an alternative product available, please contact our technical support team.
Overview
- SupplierElabscience
- Product NameSMARCA5 Polyclonal Antibody
- Delivery Days Customer12
- CertificationResearch Use Only
- Scientific DescriptionThe protein encoded by this gene is a member of the SWI/SNF family of proteins. Members of this family have helicase and ATPase activities and are thought to regulate transcription of certain genes by altering the chromatin structure around those genes. The protein encoded by this gene is a component of the chromatin remodeling and spacing factor RSF, a facilitator of the transcription of class II genes by RNA polymerase II. The encoded protein is similar in sequence to the Drosophila ISWI chromatin remodeling protein.
- UNSPSC12352203






