
Vinculin antibody detects Vinculin protein by western blot analysis. Whole cell extracts (30 μg) was separated by 7.5% SDS-PAGE, and the membrane was blotted with Vinculin antibody (GTX113294) diluted at 1:1000. The HRP-conjugated anti-rabbit IgG antibody (GTX213110-01) was used to detect the primary antibody.
Vinculin antibody [N1N3]
GTX113294
ApplicationsImmunoFluorescence, Western Blot, ImmunoCytoChemistry, ImmunoHistoChemistry, ImmunoHistoChemistry Paraffin
Product group Antibodies
ReactivityHuman, Mouse, Rat
TargetVCL
Overview
- SupplierGeneTex
- Product NameVinculin antibody [N1N3]
- Delivery Days Customer9
- Application Supplier NoteWB: 1:500-1:3000. ICC/IF: 1:100-1:1000. IHC-P: 1:100-1:1000. *Optimal dilutions/concentrations should be determined by the researcher.Not tested in other applications.
- ApplicationsImmunoFluorescence, Western Blot, ImmunoCytoChemistry, ImmunoHistoChemistry, ImmunoHistoChemistry Paraffin
- CertificationResearch Use Only
- ClonalityPolyclonal
- Concentration0.33 mg/ml
- ConjugateUnconjugated
- Gene ID7414
- Target nameVCL
- Target descriptionvinculin
- Target synonymsCMD1W, CMH15, HEL114, MV, MVCL, VINC, vinculin, epididymis luminal protein 114, epididymis secretory sperm binding protein, meta-vinculin, metavinculin
- HostRabbit
- IsotypeIgG
- Protein IDP18206
- Protein NameVinculin
- Scientific DescriptionVinculin is a cytoskeletal protein associated with cell-cell and cell-matrix junctions, where it is thought to function as one of several interacting proteins involved in anchoring F-actin to the membrane. Defects in VCL are the cause of cardiomyopathy dilated type 1W. Dilated cardiomyopathy is a disorder characterized by ventricular dilation and impaired systolic function, resulting in congestive heart failure and arrhythmia. Multiple alternatively spliced transcript variants have been found for this gene, but the biological validity of some variants has not been determined. [provided by RefSeq]
- ReactivityHuman, Mouse, Rat
- Storage Instruction-20°C or -80°C,2°C to 8°C
- UNSPSC41116161
![Mouse tissue extract (50 μg) was separated by 5% SDS-PAGE, and the membrane was blotted with Vinculin antibody [N1N3] (GTX113294) diluted at 1:1000. The HRP-conjugated anti-rabbit IgG antibody (GTX213110-01) was used to detect the primary antibody. Mouse tissue extract (50 μg) was separated by 5% SDS-PAGE, and the membrane was blotted with Vinculin antibody [N1N3] (GTX113294) diluted at 1:1000. The HRP-conjugated anti-rabbit IgG antibody (GTX213110-01) was used to detect the primary antibody.](https://www.genetex.com/upload/website/prouct_img/normal/GTX113294/GTX113294_42200_20220218_WB_M_brain_w_23060501_872.webp)
![Various whole cell extracts (30 μg) were separated by 5% SDS-PAGE, and the membrane was blotted with Vinculin antibody [N1N3] (GTX113294) diluted at 1:1000. The HRP-conjugated anti-rabbit IgG antibody (GTX213110-01) was used to detect the primary antibody. Various whole cell extracts (30 μg) were separated by 5% SDS-PAGE, and the membrane was blotted with Vinculin antibody [N1N3] (GTX113294) diluted at 1:1000. The HRP-conjugated anti-rabbit IgG antibody (GTX213110-01) was used to detect the primary antibody.](https://www.genetex.com/upload/website/prouct_img/normal/GTX113294/GTX113294_42200_20200306_WB_w_23060501_580.webp)
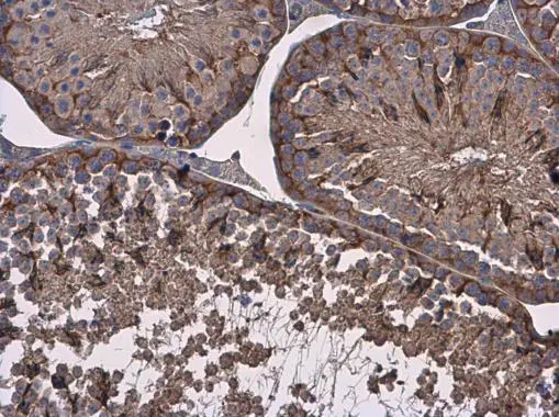
![Vinculin antibody [N1N3] detects Vinculin protein at cytoplasm in mouse testis by immunohistochemical analysis. Sample: Paraffin-embedded mouse testis. Vinculin antibody [N1N3] (GTX113294) diluted at 1:500.
Antigen Retrieval: Citrate buffer, pH 6.0, 15 min Vinculin antibody [N1N3] detects Vinculin protein at cytoplasm in mouse testis by immunohistochemical analysis. Sample: Paraffin-embedded mouse testis. Vinculin antibody [N1N3] (GTX113294) diluted at 1:500.
Antigen Retrieval: Citrate buffer, pH 6.0, 15 min](https://www.genetex.com/upload/website/prouct_img/normal/GTX113294/GTX113294_42200_20151013_IHC-P_M_w_23060501_940.webp)
![Various whole cell extracts (30 μg) were separated by 7.5% SDS-PAGE, and the membrane was blotted with Vinculin antibody [N1N3] (GTX113294) diluted at 1:1000. The HRP-conjugated anti-rabbit IgG antibody (GTX213110-01) was used to detect the primary antibody. Various whole cell extracts (30 μg) were separated by 7.5% SDS-PAGE, and the membrane was blotted with Vinculin antibody [N1N3] (GTX113294) diluted at 1:1000. The HRP-conjugated anti-rabbit IgG antibody (GTX213110-01) was used to detect the primary antibody.](https://www.genetex.com/upload/website/prouct_img/normal/GTX113294/GTX113294_42200_20190823_WB_R_w_23060501_134.webp)
![Vinculin antibody [N1N3] detects Vinculin protein at focal adhesion by immunofluorescent analysis. Sample: HeLa cells were fixed in ice-cold MeOH for 5 min. Green: Vinculin stained by Vinculin antibody [N1N3] (GTX113294) diluted at 1:500. Blue: Fluoroshield with DAPI (GTX30920). Scale bar= 10 μm. Vinculin antibody [N1N3] detects Vinculin protein at focal adhesion by immunofluorescent analysis. Sample: HeLa cells were fixed in ice-cold MeOH for 5 min. Green: Vinculin stained by Vinculin antibody [N1N3] (GTX113294) diluted at 1:500. Blue: Fluoroshield with DAPI (GTX30920). Scale bar= 10 μm.](https://www.genetex.com/upload/website/prouct_img/normal/GTX113294/GTX113294_42200_20200219_ICC_IF_w_23060501_219.webp)


![Various whole cell extracts (50 μg) were separated by 7.5% SDS-PAGE, and the membrane was blotted with Vinculin antibody [N1N3] (GTX113294) diluted at 1:1000. The HRP-conjugated anti-rabbit IgG antibody (GTX213110-01) was used to detect the primary antibody. Various whole cell extracts (50 μg) were separated by 7.5% SDS-PAGE, and the membrane was blotted with Vinculin antibody [N1N3] (GTX113294) diluted at 1:1000. The HRP-conjugated anti-rabbit IgG antibody (GTX213110-01) was used to detect the primary antibody.](https://www.genetex.com/upload/website/prouct_img/normal/GTX113294/GTX113294_44846_20240503_WB_M_R_24050701_901.webp)
![Various whole cell extracts (30 μg) were separated by 5% SDS-PAGE, and the membrane was blotted with Vinculin antibody [N1N3] (GTX113294) diluted at 1:10000. The HRP-conjugated anti-rabbit IgG antibody (GTX213110-01) was used to detect the primary antibody. Various whole cell extracts (30 μg) were separated by 5% SDS-PAGE, and the membrane was blotted with Vinculin antibody [N1N3] (GTX113294) diluted at 1:10000. The HRP-conjugated anti-rabbit IgG antibody (GTX213110-01) was used to detect the primary antibody.](https://www.genetex.com/upload/website/prouct_img/normal/GTX113294/GTX113294_44846_20240920_WB_24092600_688.webp)





![Various whole cell extracts (30 μg) were separated by 7.5% SDS-PAGE, and the membrane was blotted with Vinculin antibody [HL1873] (GTX637622) diluted at 1:1000. The HRP-conjugated anti-rabbit IgG antibody (GTX213110-01) was used to detect the primary antibody.](https://www.genetex.com/upload/website/prouct_img/normal/GTX637622/GTX637622_T-44830_20221021_WB_M_R_22102723_944.webp)
![Various whole cell extracts (30 μg) were separated by 5% SDS-PAGE, and the membrane was blotted with Vinculin antibody [HL1964] (GTX637857) diluted at 1:1000. The HRP-conjugated anti-rabbit IgG antibody (GTX213110-01) was used to detect the primary antibody.](https://www.genetex.com/upload/website/prouct_img/normal/GTX637857/GTX637857_T-44858_20221111_WB_M_R_22111518_615.webp)
![Vinculin antibody [N3C1], Internal detects VCL protein by Western blot analysis. A. 30 μg PC-12 whole cell lysate/extract B. 30 μg Rat2 whole cell lysate/extract 5 % SDS-PAGE Vinculin antibody [N3C1], Internal (GTX109749) dilution: 1:1000](https://www.genetex.com/upload/website/prouct_img/normal/GTX109749/GTX109749_40037_WB_R_w_23060500_998.webp)
