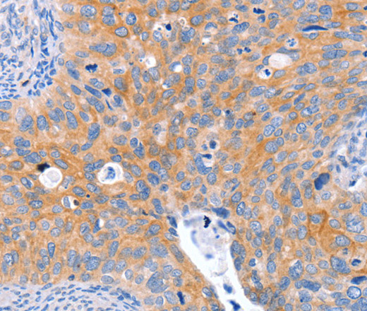
Immunohistochemistry of paraffin-embedded Human cervical cancer tissue using ABO Polyclonal Antibody at dilution 1:50
ABO Polyclonal Antibody
E-AB-16281
Product group Antibodies
Overview
- SupplierElabscience
- Product NameABO Polyclonal Antibody
- Delivery Days Customer12
- Applications SupplierELISA IHC
- CertificationResearch Use Only
- Concentration0.6mg/ml
- Scientific DescriptionThis gene encodes proteins related to the first discovered blood group system, ABO. Which allele is present in an individual determines the blood group. The O blood group is caused by a deletion of guanine-258 near the N-terminus of the protein which results in a frameshift and translation of an almost entirely different protein. Individuals with the A, B, and AB alleles express glycosyltransferase activities that convert the H antigen into the A or B antigen. Other minor alleles have been found for this gene.
- UNSPSC12352203





