
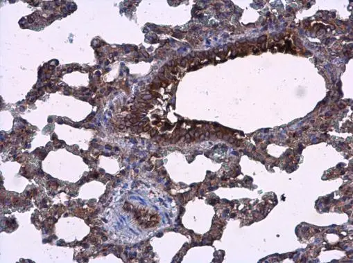
Immunohistochemical analysis of paraffin-embedded PC13 xenograft, using AGR3(GTX100582) antibody at 1:500 dilution.
Antigen Retrieval: Trilogy? (EDTA based, pH 8.0) buffer, 15min
AGR3 antibody
GTX100582
ApplicationsWestern Blot, ImmunoHistoChemistry, ImmunoHistoChemistry Paraffin
Product group Antibodies
ReactivityHuman, Mouse, Rat
TargetAGR3
Overview
- SupplierGeneTex
- Product NameAGR3 antibody
- Delivery Days Customer9
- Application Supplier NoteWB: 1:500-1:3000. IHC-P: 1:100-1:1000. *Optimal dilutions/concentrations should be determined by the researcher.Not tested in other applications.
- ApplicationsWestern Blot, ImmunoHistoChemistry, ImmunoHistoChemistry Paraffin
- CertificationResearch Use Only
- ClonalityPolyclonal
- Concentration0.8 mg/ml
- ConjugateUnconjugated
- Gene ID155465
- Target nameAGR3
- Target descriptionanterior gradient 3, protein disulphide isomerase family member
- Target synonymsAG-3, AG3, BCMP11, HAG3, PDIA18, hAG-3, anterior gradient protein 3, anterior gradient homolog 3, anterior gradient protein 3 homolog, breast cancer membrane protein 11, protein disulfide isomerase family A, member 18
- HostRabbit
- IsotypeIgG
- Protein IDQ8TD06
- Protein NameAnterior gradient protein 3
- ReactivityHuman, Mouse, Rat
- Storage Instruction-20°C or -80°C,2°C to 8°C
- UNSPSC41116161









![IHC-P analysis of breast carcinoma tissue using GTX80241 AGR3 antibody [AGR3.1].](https://www.genetex.com/upload/website/prouct_img/normal/GTX80241/GTX80241_20191028_IHC-P_1_w_23061322_611.webp)

