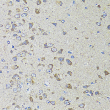
Immunohistochemistry of paraffin-embedded Rat brain using AIFM3 Polyclonal Antibody at dilution of 1:100 (40x lens).
AIFM3 Polyclonal Antibody
E-AB-63886
Product group Antibodies
Overview
- SupplierElabscience
- Product NameAIFM3 Polyclonal Antibody
- Delivery Days Customer12
- CertificationResearch Use Only
- Scientific DescriptionAIFM3 (Apoptosis Inducing Factor Mitochondria Associated 3) is a Protein Coding gene. Diseases associated with AIFM3 include Chromosome 6Q24-Q25 Deletion Syndrome and Febrile Seizures, Familial, 7. Gene Ontology (GO) annotations related to this gene include oxidoreductase activity and 2 iron, 2 sulfur cluster binding. An important paralog of this gene is DLD.
- UNSPSC12352203




