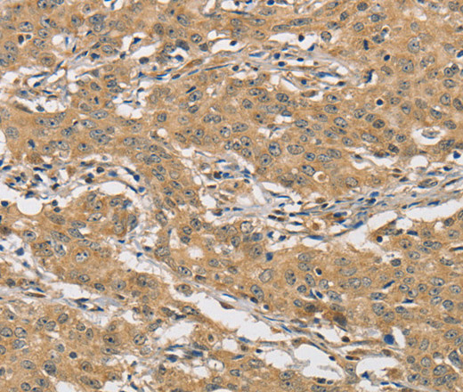
Immunohistochemistry of paraffin-embedded Human gasrtic cancer tissue using AMZ2 Polyclonal Antibody at dilution 1:60
AMZ2 Polyclonal Antibody
E-AB-14598
Product group Antibodies
Overview
- SupplierElabscience
- Product NameAMZ2 Polyclonal Antibody
- Delivery Days Customer12
- Applications SupplierELISA IHC
- CertificationResearch Use Only
- Concentration0.7mg/ml
- Scientific DescriptionAMZ2 (archaelysin family metallopeptidase 2), also known as archaemetzincin-2 or archeobacterial metalloproteinase-like protein 2, is a 360 amino acid protein belonging to the peptidase M54 family. Encoded by a gene that maps to human chromosome 17q24.2, AMZ2 is predominantly expressed in heart and testis. AMZ2 is also expressed in kidney, liver, pancreas, lung, brain and placenta, and in fetal tissues such as kidney, liver, lung and brain. AMZ2 participates in metal ion binding and functions as a zinc metalloprotease. AMZ2 is inhibited by both general metalloprotease inhibitors o-phenanthroline and batimastat. Exhibiting aminopeptidase activity, AMZ2 acts against Angiotensin in vitro, but does not hydrolyze either Neurogranin or Angiotensin.
- UNSPSC12352203




