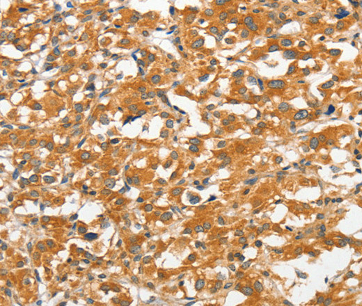
Immunohistochemistry of paraffin-embedded Human thyroid cancer tissue using ANKMY2 Polyclonal Antibody at dilution 1:30
ANKMY2 Polyclonal Antibody
E-AB-14569
Product group Antibodies
Overview
- SupplierElabscience
- Product NameANKMY2 Polyclonal Antibody
- Delivery Days Customer12
- Applications SupplierELISA IHC
- CertificationResearch Use Only
- Concentration0.2mg/ml
- Scientific DescriptionANKMY2 (ankyrin repeat and MYND domain containing 2) is a 441 amino acid protein that contains three ANK repeats and one MYND-type zinc finger. Encoded by a gene that maps to human chromosome 7p21.1, ANKMY2 is conserved in chimpanzee, dog, cow, mouse, chicken, zebrafish, fruit fly, mosquito and Caenorhabditis elegans. Downregulation of ANKMY2, associated with frequent deletions of human chromosome 7p22.1, indicate that ANKMY2 may role a role in the pathogenesis of natural killer (NK)-cell malignancies. ANKMY2 is also upregulated by enforced expression of Hox11, which functions broadly to hinder hemopoiesis, diverts differentiation to an alternative fate and promotes pre-leukaemic states.
- UNSPSC12352203





