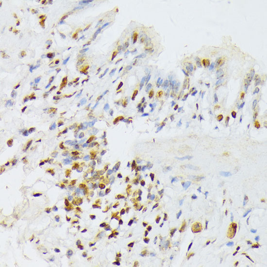
Immunohistochemistry of paraffin-embedded Rat lung using ANKRD52 Polyclonal Antibody at dilution of 1:100 (40x lens).
ANKRD52 Polyclonal Antibody
E-AB-62590
Product group Antibodies
Overview
- SupplierElabscience
- Product NameANKRD52 Polyclonal Antibody
- Delivery Days Customer12
- CertificationResearch Use Only
- Scientific DescriptionANKRD52 (Ankyrin Repeat Domain 52) is a Protein Coding gene. An important paralog of this gene is ANKRD28.
- UNSPSC12352203



