![Various tissue extracts (50 μg) were separated by 15% SDS-PAGE, and the membrane was blotted with ANP antibody [HL2617] (GTX639071) diluted at 1:1000. The HRP-conjugated anti-rabbit IgG antibody (GTX213110-01) was used to detect the primary antibody. Various tissue extracts (50 μg) were separated by 15% SDS-PAGE, and the membrane was blotted with ANP antibody [HL2617] (GTX639071) diluted at 1:1000. The HRP-conjugated anti-rabbit IgG antibody (GTX213110-01) was used to detect the primary antibody.](https://www.genetex.com/upload/website/prouct_img/normal/GTX639071/GTX639071_T-45173_20230922_WB_M_tissue_23092723_113.webp)
Various tissue extracts (50 μg) were separated by 15% SDS-PAGE, and the membrane was blotted with ANP antibody [HL2617] (GTX639071) diluted at 1:1000. The HRP-conjugated anti-rabbit IgG antibody (GTX213110-01) was used to detect the primary antibody.
ANP antibody [HL2617]
GTX639071
ApplicationsImmunoFluorescence, Western Blot, ELISA, ImmunoCytoChemistry, ImmunoHistoChemistry, ImmunoHistoChemistry Paraffin
Product group Antibodies
ReactivityHuman, Mouse, Rat
TargetNPPA
Overview
- SupplierGeneTex
- Product NameANP antibody [HL2617]
- Delivery Days Customer7
- Application Supplier Note*Optimal dilutions/concentrations should be determined by the researcher.Not tested in other applications.
- ApplicationsImmunoFluorescence, Western Blot, ELISA, ImmunoCytoChemistry, ImmunoHistoChemistry, ImmunoHistoChemistry Paraffin
- CertificationResearch Use Only
- ClonalityMonoclonal
- Clone IDHL2617
- Concentration1 mg/ml
- ConjugateUnconjugated
- Gene ID4878
- Target nameNPPA
- Target descriptionnatriuretic peptide A
- Target synonymsANF, ANP, ATFB6, ATRST2, CDD, CDD-ANF, CDP, PND, natriuretic peptides A, atrial natriuretic factor prohormone, atrial natriuretic peptide prohormone, atriopeptigen, atriopeptin, cardiodilatin-related peptide, cardionatrin, natriuretic peptide precursor A, preproANP, preproCDD-ANF, prepronatriodilatin, proANF, proANP
- HostRabbit
- IsotypeIgG
- Protein IDP01160
- Protein NameNatriuretic peptides A
- Scientific DescriptionThe protein encoded by this gene belongs to the natriuretic peptide family. Natriuretic peptides are implicated in the control of extracellular fluid volume and electrolyte homeostasis. This protein is synthesized as a large precursor (containing a signal peptide), which is processed to release a peptide from the N-terminus with similarity to vasoactive peptide, cardiodilatin, and another peptide from the C-terminus with natriuretic-diuretic activity. Mutations in this gene have been associated with atrial fibrillation familial type 6. This gene is located adjacent to another member of the natriuretic family of peptides on chromosome 1. [provided by RefSeq, Oct 2015]
- ReactivityHuman, Mouse, Rat
- Storage Instruction-20°C or -80°C,2°C to 8°C
- UNSPSC12352203
![Rat tissue extract (50 μg) was separated by 15% SDS-PAGE, and the membrane was blotted with ANP antibody [HL2617] (GTX639071) diluted at 1:1000. The HRP-conjugated anti-rabbit IgG antibody (GTX213110-01) was used to detect the primary antibody. Rat tissue extract (50 μg) was separated by 15% SDS-PAGE, and the membrane was blotted with ANP antibody [HL2617] (GTX639071) diluted at 1:1000. The HRP-conjugated anti-rabbit IgG antibody (GTX213110-01) was used to detect the primary antibody.](https://www.genetex.com/upload/website/prouct_img/normal/GTX639071/GTX639071_T-45173_20230922_WB_R_heart_23092723_673.webp)
![Sandwich ELISA detection of recombinant Human ANP protein, GST tag (GTX109255-pro) using antibodies as below. Capture: ANP antibody [GT1068] (GTX634219) (5 μg/mL) Detection: ANP antibody [HL2617] (GTX639071) (1 μg/mL) Sandwich ELISA detection of recombinant Human ANP protein, GST tag (GTX109255-pro) using antibodies as below. Capture: ANP antibody [GT1068] (GTX634219) (5 μg/mL) Detection: ANP antibody [HL2617] (GTX639071) (1 μg/mL)](https://www.genetex.com/upload/website/prouct_img/normal/GTX639071/GTX639071_T-45173_20231013_ELISA_PAIR_23101921_348.webp)
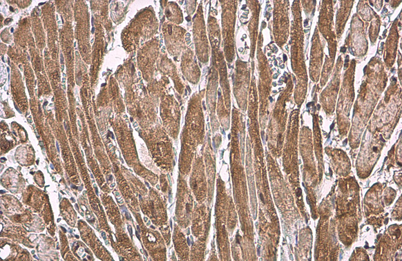
![ANP antibody [HL2617] detects ANP protein by immunohistochemical analysis. Sample: Paraffin-embedded mouse tissues. ANP stained by ANP antibody [HL2617] (GTX639071) diluted at 1:100. Antigen Retrieval: Citrate buffer, pH 6.0, 15 min ANP antibody [HL2617] detects ANP protein by immunohistochemical analysis. Sample: Paraffin-embedded mouse tissues. ANP stained by ANP antibody [HL2617] (GTX639071) diluted at 1:100. Antigen Retrieval: Citrate buffer, pH 6.0, 15 min](https://www.genetex.com/upload/website/prouct_img/normal/GTX639071/GTX639071_T-45173_20230928_IHC-P_multiple_M_23103019_769.webp)
![Mouse tissue extract (50 μg) was separated by 15% SDS-PAGE, and the membrane was blotted with ANP antibody [HL2617] (GTX639071) diluted at 1:1000. The HRP-conjugated anti-rabbit IgG antibody (GTX213110-01) was used to detect the primary antibody. Mouse tissue extract (50 μg) was separated by 15% SDS-PAGE, and the membrane was blotted with ANP antibody [HL2617] (GTX639071) diluted at 1:1000. The HRP-conjugated anti-rabbit IgG antibody (GTX213110-01) was used to detect the primary antibody.](https://www.genetex.com/upload/website/prouct_img/normal/GTX639071/GTX639071_45236_20231124_WB_M_heart_23112922_885.webp)
![ANP antibody [HL2617] detects ANP protein by immunofluorescent analysis. Sample: SH-SY-5Y cells were fixed in 4% paraformaldehyde at RT for 15 min. Green: ANP stained by ANP antibody [HL2617] (GTX639071) diluted at 1:500. Red: alpha Tubulin, a cytoskeleton marker, stained by alpha Tubulin antibody [GT114] (GTX628802) diluted at 1:1000. Blue: Fluoroshield with DAPI (GTX30920). ANP antibody [HL2617] detects ANP protein by immunofluorescent analysis. Sample: SH-SY-5Y cells were fixed in 4% paraformaldehyde at RT for 15 min. Green: ANP stained by ANP antibody [HL2617] (GTX639071) diluted at 1:500. Red: alpha Tubulin, a cytoskeleton marker, stained by alpha Tubulin antibody [GT114] (GTX628802) diluted at 1:1000. Blue: Fluoroshield with DAPI (GTX30920).](https://www.genetex.com/upload/website/prouct_img/normal/GTX639071/GTX639071_45236_20240621_ICC_IF_24070822_127.webp)

![Various tissue extracts (50 μg) were separated by 15% SDS-PAGE, and the membrane was blotted with ANP antibody [N1C3] (GTX112698) diluted at 1:2000. The HRP-conjugated anti-rabbit IgG antibody (GTX213110-01) was used to detect the primary antibody.](https://www.genetex.com/upload/website/prouct_img/normal/GTX112698/GTX112698_44748_20220722_WB_M_R_24041019_846.webp)
![Mouse tissue extract (50 μg) was separated by 15% SDS-PAGE, and the membrane was blotted with ANP antibody [GT1068] (GTX634219) diluted at 1:1000. The HRP-conjugated anti-mouse IgG antibody (GTX213111-01) was used to detect the primary antibody.](https://www.genetex.com/upload/website/prouct_img/normal/GTX634219/GTX634219_44713_20220610_WB_M_heart_22062919_592.webp)



