
HEK293T cells were transfected with the pCMV6-ENTRY control (Left lane) or pCMV6-ENTRY AMTN (Right lane) cDNA for 48 hrs and lysed. Equivalent amounts of cell lysates (5 ug per lane) were separated by SDS-PAGE and immunoblotted with anti-AMTN (1:2000).
Anti-Amelotin (AMTN) Mouse Monoclonal Antibody [Clone ID: OTI2D9]
M09154
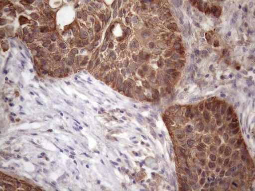
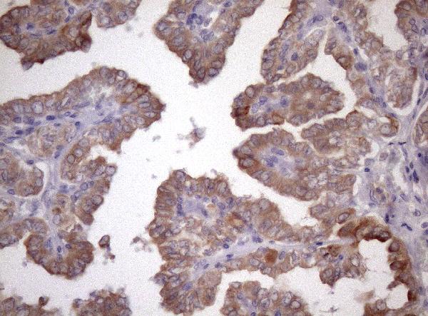
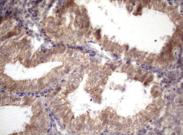
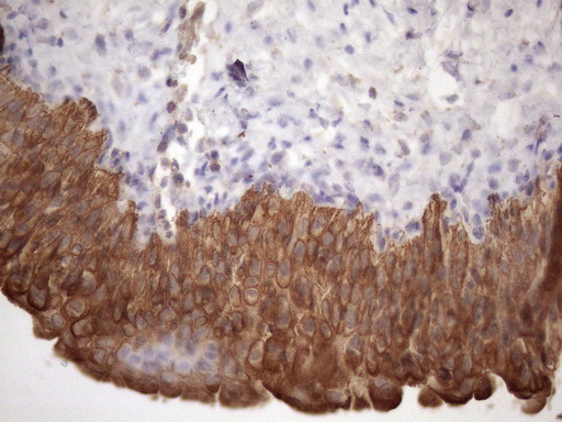
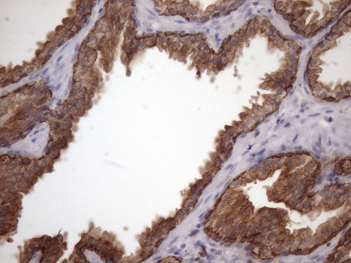
ApplicationsWestern Blot, ImmunoHistoChemistry
Product group Antibodies
ReactivityHuman
TargetAMTN
Overview
- SupplierBoster Bio
- Product NameAnti-Amelotin (AMTN) Mouse Monoclonal Antibody [Clone ID: OTI2D9]
- Delivery Days Customer9
- ApplicationsWestern Blot, ImmunoHistoChemistry
- CertificationResearch Use Only
- ClonalityMonoclonal
- Clone IDOTI2D9
- Concentration1 mg/ml
- Gene ID401138
- Target nameAMTN
- Target descriptionamelotin
- Target synonymsAI3B, UNQ689, amelotin, RSTI689
- HostMouse
- IsotypeIgG1
- Protein IDQ6UX39
- Protein NameAmelotin
- Scientific DescriptionBoster Bio AMTN mouse monoclonal antibody, clone OTI2D9 (formerly 2D9). Catalog# M09154. Tested in IHC, WB. This antibody reacts with Human.
- ReactivityHuman
- Storage Instruction-20°C
- UNSPSC12352203










