
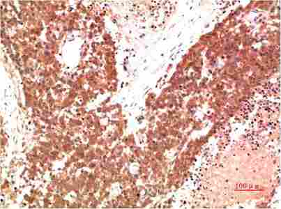
Immunohistochemistry (IHC) analysis of paraffin-embedded Human Skeletal Muscle Tissue using AMPk a1 Mouse Monoclonal antibody diluted at 1:200.
Anti-AMPK alpha1 PRKAA1 Monoclonal Antibody
A00994-1
ApplicationsWestern Blot, ImmunoHistoChemistry
Product group Antibodies
ReactivityHuman, Mouse, Rat
TargetPRKAA1
Overview
- SupplierBoster Bio
- Product NameAnti-AMPK alpha1 PRKAA1 Monoclonal Antibody
- Delivery Days Customer9
- ApplicationsWestern Blot, ImmunoHistoChemistry
- CertificationResearch Use Only
- ClonalityMonoclonal
- Clone ID9G3
- Gene ID5562
- Target namePRKAA1
- Target descriptionprotein kinase AMP-activated catalytic subunit alpha 1
- Target synonymsAMPK, AMPK alpha 1, AMPKa1, 5'-AMP-activated protein kinase catalytic subunit alpha-1, 5'-AMP-activated protein kinase, catalytic alpha-1 chain, ACACA kinase, AMP -activate kinase alpha 1 subunit, AMP-activated protein kinase, catalytic, alpha-1, AMPK subunit alpha-1, AMPK, alpha, 1, HMGCR kinase, acetyl-CoA carboxylase kinase, hydroxymethylglutaryl-CoA reductase kinase, protein kinase, AMP-activated, alpha 1 catalytic subunit, tau-protein kinase PRKAA1
- HostMouse
- IsotypeIgG1
- Protein IDQ13131
- Protein Name5'-AMP-activated protein kinase catalytic subunit alpha-1
- Scientific DescriptionBoster Bio Anti-AMPK alpha1 PRKAA1 Monoclonal Antibody catalog # A00994-1. Tested in IHC, WB applications. This antibody reacts with Human, Mouse, Rat.
- ReactivityHuman, Mouse, Rat
- Storage Instruction-20°C,2°C to 8°C
- UNSPSC12352203

