
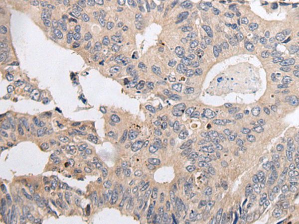
Immunohistochemical staining of human gallbladder shows cytoplasmic positivity in glandular cells.
Anti-ARL5A Antibody
HPA027002
ApplicationsImmunoHistoChemistry
Product group Antibodies
ReactivityHuman
TargetARL5A
Overview
- SupplierAtlas Antibodies
- Product NameAnti-ARL5A Antibody
- Delivery Days Customer4
- ApplicationsImmunoHistoChemistry
- CertificationResearch Use Only
- ClonalityPolyclonal
- ConjugateUnconjugated
- Gene ID26225
- Target nameARL5A
- Target descriptionARF like GTPase 5A
- Target synonymsARFLP5, ARL5, ADP-ribosylation factor-like protein 5A, ADP ribosylation factor like GTPase 5A, ADP-ribosylation factor-like 5, ADP-ribosylation factor-like 5A, ADP-ribosylation factor-like protein 5
- HostRabbit
- IsotypeIgG
- Protein IDQ9Y689
- Protein NameADP-ribosylation factor-like protein 5A
- Scientific DescriptionRecombinant Protein Epitope Signature Tag (PrEST) antigen sequence
- ReactivityHuman
- Storage Instruction-20°C,2°C to 8°C
- UNSPSC41116161

