
Anti-BATF Antibody - Identical to Abcam (ab196762)
A99226
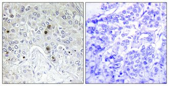
ApplicationsELISA, ImmunoHistoChemistry
Product group Antibodies
ReactivityHuman, Mouse
Overview
- SupplierAntibodies.com
- Product NameAnti-BATF Antibody - Identical to Abcam (ab196762)
- Delivery Days Customer7
- ApplicationsELISA, ImmunoHistoChemistry
- CertificationResearch Use Only
- ClonalityPolyclonal
- ConjugateUnconjugated
- HostRabbit
- IsotypeIgG
- Scientific DescriptionRabbit polyclonal antibody to BATF.
- ReactivityHuman, Mouse
- UNSPSC12352203
