
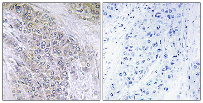
Anti-BCL-2 (phospho Thr56) Antibody
A94833
ApplicationsImmunoFluorescence, ImmunoPrecipitation, Western Blot, ImmunoHistoChemistry
Product group Antibodies
ReactivityHuman
Overview
- SupplierAntibodies.com
- Product NameAnti-BCL-2 (phospho Thr56) Antibody
- Delivery Days Customer7
- ApplicationsImmunoFluorescence, ImmunoPrecipitation, Western Blot, ImmunoHistoChemistry
- CertificationResearch Use Only
- ClonalityPolyclonal
- ConjugateUnconjugated
- HostRabbit
- IsotypeIgG
- Scientific DescriptionRabbit polyclonal antibody to BCL-2 (phospho Thr56).
- ReactivityHuman
- UNSPSC12352203


