
HEK293T cells were transfected with the pCMV6-ENTRY control (Left lane) or pCMV6-ENTRY BTN3A2 (Right lane) cDNA for 48 hrs and lysed. Equivalent amounts of cell lysates (5 ug per lane) were separated by SDS-PAGE and immunoblotted with anti-BTN3A2.
Anti-BTN3A2 Mouse Monoclonal Antibody [Clone ID: OTI1A6]
M08900
ApplicationsImmunoFluorescence, Western Blot, ImmunoHistoChemistry
Product group Antibodies
ReactivityHuman
TargetBTN3A2
Overview
- SupplierBoster Bio
- Product NameAnti-BTN3A2 Mouse Monoclonal Antibody [Clone ID: OTI1A6]
- Delivery Days Customer9
- ApplicationsImmunoFluorescence, Western Blot, ImmunoHistoChemistry
- CertificationResearch Use Only
- ClonalityMonoclonal
- Clone IDOTI1A6
- Concentration1 mg/ml
- Gene ID11118
- Target nameBTN3A2
- Target descriptionbutyrophilin subfamily 3 member A2
- Target synonymsBT3.2, BTF4, BTN3.2, CD277, butyrophilin subfamily 3 member A2, butyrophilin protein
- HostMouse
- IsotypeIgG1
- Protein IDP78410
- Protein NameButyrophilin subfamily 3 member A2
- Scientific DescriptionBoster Bio Anti-BTN3A2 mouse monoclonal antibody, clone OTI1A6 (formerly 1A6). Catalog# M08900. Tested in IF, IHC, WB. This antibody reacts with Human.
- ReactivityHuman
- Storage Instruction-20°C
- UNSPSC12352203









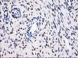
![IHC-P analysis of colon tissue using GTX84773 BTN3A2 antibody [1A6]. Antigen retrieval : Heat-induced epitope retrieval by 10mM citrate buffer, pH6.0, 100oC for 10min. Dilution : 1:50](https://www.genetex.com/upload/website/prouct_img/normal/GTX84773/GTX84773_3104_IHC-P_w_23061420_169.webp)
