
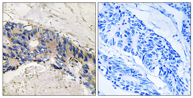
Immunohistochemistry analysis in human rectum and pancreas tissues using HPA006558 antibody. Corresponding CA1 RNA-seq data are presented for the same tissues.
Anti-CA1 Antibody
HPA006558
ApplicationsWestern Blot, ImmunoHistoChemistry
Product group Antibodies
ReactivityHuman
TargetCA1
Overview
- SupplierAtlas Antibodies
- Product NameAnti-CA1 Antibody
- Delivery Days Customer4
- ApplicationsWestern Blot, ImmunoHistoChemistry
- CertificationResearch Use Only
- ClonalityPolyclonal
- ConjugateUnconjugated
- Gene ID759
- Target nameCA1
- Target descriptioncarbonic anhydrase 1
- Target synonymsCA-I, CAB, Car1, HEL-S-11, carbonic anhydrase 1, carbonate dehydratase I, carbonic anhydrase B, carbonic anhydrase I, cyanamide hydratase CA1, epididymis secretory protein Li 11, epididymis secretory sperm binding protein
- HostRabbit
- IsotypeIgG
- Protein IDP00915
- Protein NameCarbonic anhydrase 1
- Scientific DescriptionRecombinant Protein Epitope Signature Tag (PrEST) antigen sequence
- ReactivityHuman
- Storage Instruction-20°C,2°C to 8°C
- UNSPSC41116161






