
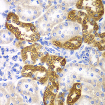
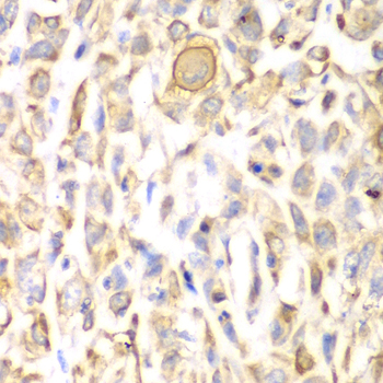
Anti-CD151 Antibody
A13750
ApplicationsWestern Blot, ImmunoHistoChemistry
Product group Antibodies
ReactivityHuman, Mouse, Rat
Overview
- SupplierAntibodies.com
- Product NameAnti-CD151 Antibody
- Delivery Days Customer7
- ApplicationsWestern Blot, ImmunoHistoChemistry
- CertificationResearch Use Only
- ClonalityPolyclonal
- ConjugateUnconjugated
- HostRabbit
- IsotypeIgG
- Scientific DescriptionRabbit polyclonal antibody to CD151.
- ReactivityHuman, Mouse, Rat
- UNSPSC12352203






![FACS analysis of human peripheral blood platelets using GTX42394 CD151 antibody [11G5a].](https://www.genetex.com/upload/website/prouct_img/normal/GTX42394/GTX42394_713_FACS_w_23060820_772.webp)
