
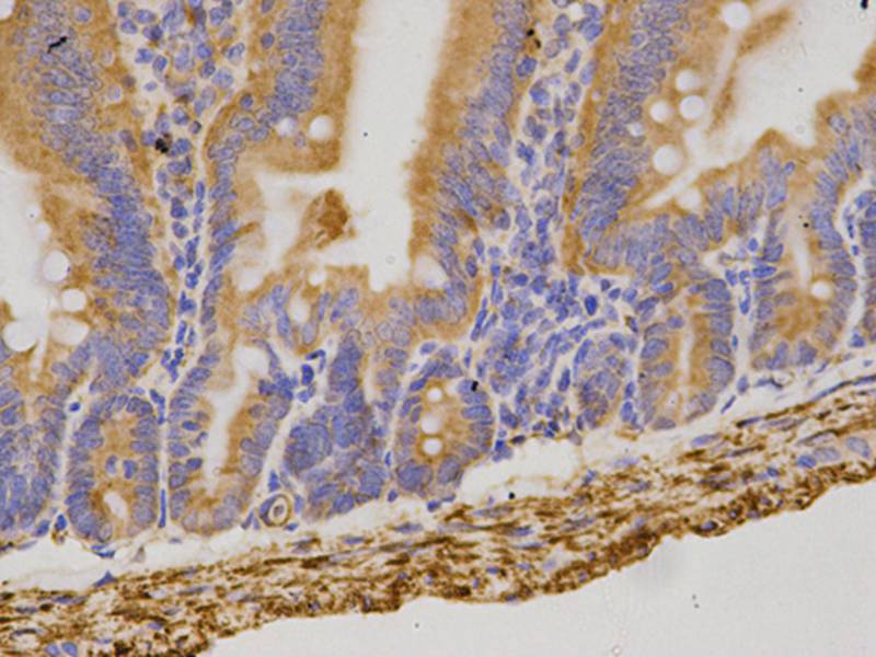
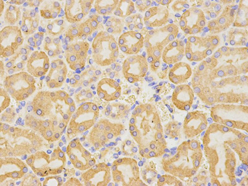
Anti-CD19 Antibody
A38510
ApplicationsWestern Blot, ImmunoHistoChemistry
Product group Antibodies
ReactivityHuman
Overview
- SupplierAntibodies.com
- Product NameAnti-CD19 Antibody
- Delivery Days Customer7
- ApplicationsWestern Blot, ImmunoHistoChemistry
- CertificationResearch Use Only
- ClonalityPolyclonal
- Concentration1.0 mg/ml
- ConjugateUnconjugated
- HostRabbit
- Scientific DescriptionRabbit polyclonal antibody to CD19
- ReactivityHuman
- UNSPSC12352203








![FACS analysis of human peripheral blood lymphocytes using GTX01455-08 CD19 antibody [HIB19] (PE). Solid lone : primary antibody Dashed line : isotype control antibody amount : 0.25 μg (5 μl)](https://www.genetex.com/upload/website/prouct_img/normal/GTX01455-08/GTX01455-08_20200428_FACS100_w_23053121_847.webp)

