
Anti-CD57 Antibody
A97790
ApplicationsELISA, ImmunoHistoChemistry
Product group Antibodies
ReactivityHuman, Mouse, Rat
Overview
- SupplierAntibodies.com
- Product NameAnti-CD57 Antibody
- Delivery Days Customer7
- ApplicationsELISA, ImmunoHistoChemistry
- CertificationResearch Use Only
- ClonalityPolyclonal
- ConjugateUnconjugated
- HostRabbit
- IsotypeIgG
- Scientific DescriptionRabbit polyclonal antibody to CD57.
- ReactivityHuman, Mouse, Rat
- UNSPSC12352203





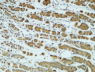
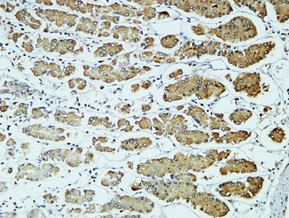
![IHC-P analysis of human adrenal gland tissue using GTX00463 CD57 antibody [TB01]. Diultion : 10microg/ml](https://www.genetex.com/upload/website/prouct_img/normal/GTX00463/GTX00463_20191025_AP_003_3_w_23053121_907.webp)

