
Anti-CDK20 Antibody
A14134
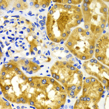
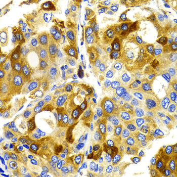
ApplicationsImmunoHistoChemistry
Product group Antibodies
ReactivityHuman, Rat
Overview
- SupplierAntibodies.com
- Product NameAnti-CDK20 Antibody
- Delivery Days Customer7
- ApplicationsImmunoHistoChemistry
- CertificationResearch Use Only
- ClonalityPolyclonal
- ConjugateUnconjugated
- HostRabbit
- IsotypeIgG
- Scientific DescriptionRabbit polyclonal antibody to CDK20.
- ReactivityHuman, Rat
- UNSPSC12352203



![WB analysis of MCF-7 and A549 whole cell lysates using GTX03437 CCRK antibody [885CT27.1.1]. Loading : 35 microg per lane](https://www.genetex.com/upload/website/prouct_img/normal/GTX03437/GTX03437_20220609_WB_3_w_23053123_690.webp)


