
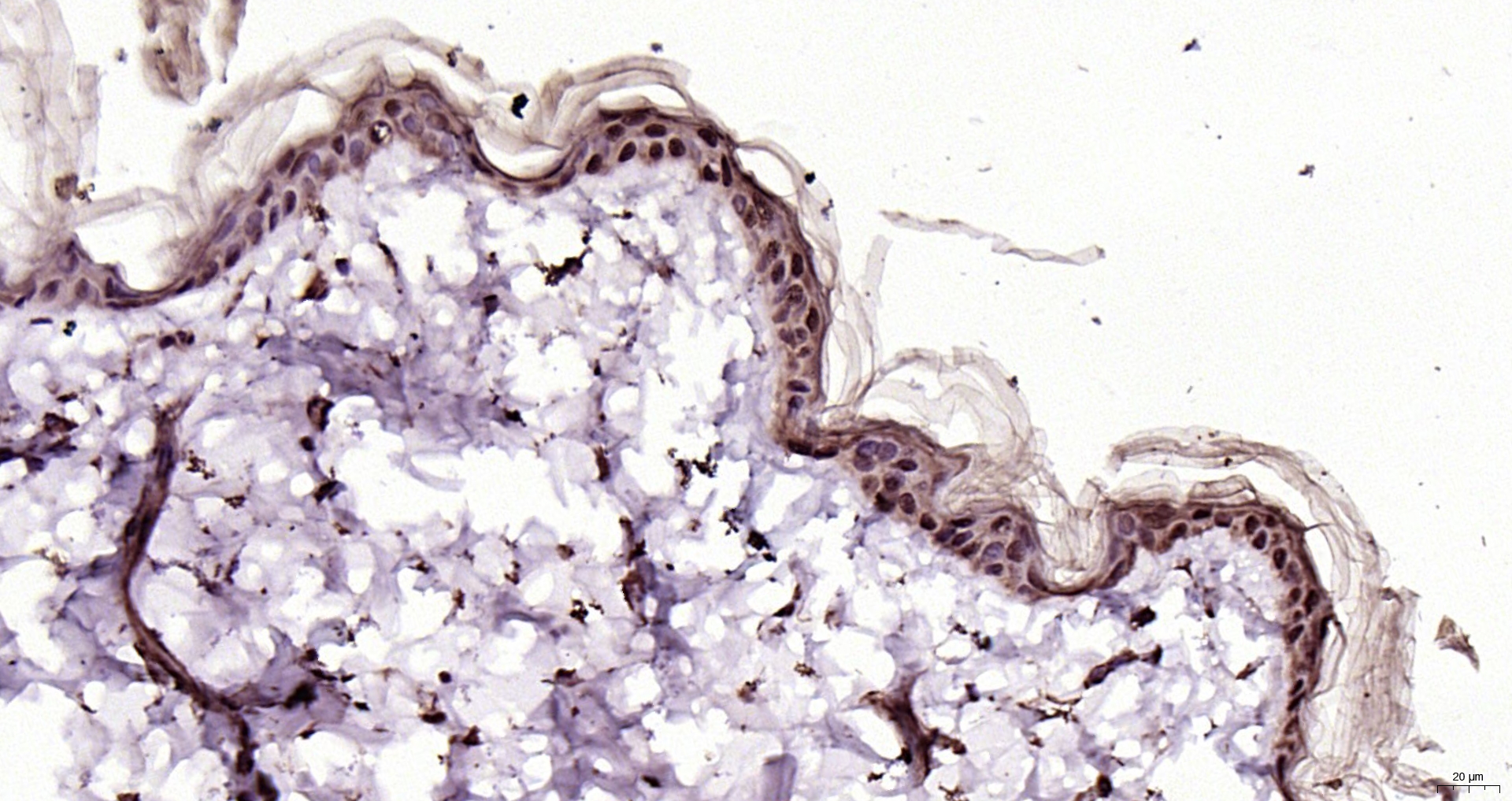
Immunohistochemical staining of human Skin shows moderate nuclear positivity in keratinocytes.
Anti-CERS3 Antibody
HPA006092
ApplicationsImmunoCytoChemistry, ImmunoHistoChemistry
Product group Antibodies
ReactivityHuman
TargetCERS3
Overview
- SupplierAtlas Antibodies
- Product NameAnti-CERS3 Antibody
- Delivery Days Customer4
- ApplicationsImmunoCytoChemistry, ImmunoHistoChemistry
- CertificationResearch Use Only
- ClonalityPolyclonal
- ConjugateUnconjugated
- Gene ID204219
- Target nameCERS3
- Target descriptionceramide synthase 3
- Target synonymsARCI9, LASS3, ceramide synthase 3, LAG1 homolog, ceramide synthase 3, LAG1 longevity assurance homolog 3, dihydroceramide synthase 3, sphingosine N-acyltransferase CERS3, ultra-long-chain ceramide synthase CERS3, very-long-chain ceramide synthase CERS3
- HostRabbit
- IsotypeIgG
- Protein IDQ8IU89
- Protein NameCeramide synthase 3
- Scientific DescriptionRecombinant Protein Epitope Signature Tag (PrEST) antigen sequence
- ReactivityHuman
- Storage Instruction-20°C,2°C to 8°C
- UNSPSC41116161







