
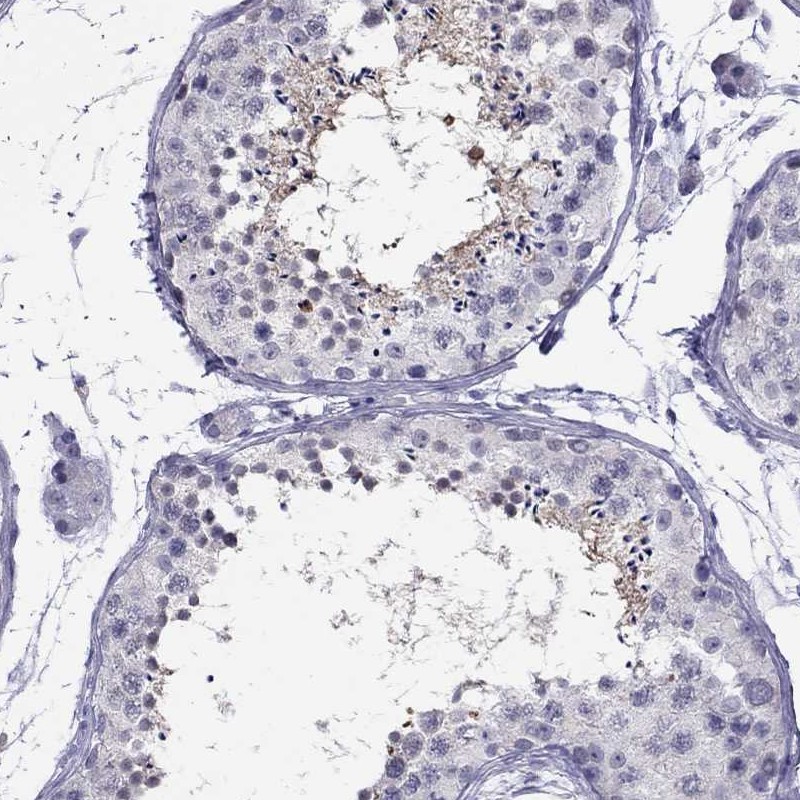
Immunohistochemical staining of human testis shows moderate cytoplasmic positivity in cells in seminiferous ducts.
Anti-CHRNB3 Antibody
HPA045555
ApplicationsImmunoHistoChemistry
Product group Antibodies
ReactivityHuman
TargetCHRNB3
Overview
- SupplierAtlas Antibodies
 - Product NameAnti-CHRNB3
 - Delivery Days Customer4
 - ApplicationsImmunoHistoChemistry
 - CertificationResearch Use Only
 - ClonalityPolyclonal
 - ConjugateUnconjugated
 - Gene ID1142
 - Target nameCHRNB3
 - Target descriptioncholinergic receptor nicotinic beta 3 subunit
 - Target synonymsacetylcholine receptor, neuronal nicotinic, beta-3 subunit; acetylcholine receptor, nicotinic, beta 3 (neuronal); cholinergic receptor, nicotinic beta 3; cholinergic receptor, nicotinic, beta 3 (neuronal); cholinergic receptor, nicotinic, beta polypeptide 3; neuronal acetylcholine receptor subunit beta-3
 - HostRabbit
 - IsotypeIgG
 - Protein IDQ05901
 - Protein NameNeuronal acetylcholine receptor subunit beta-3
 - Scientific DescriptionRecombinant Protein Epitope Signature Tag (PrEST) antigen sequence
 - ReactivityHuman
 - Storage Instruction-20°C,2°C to 8°C
 - UNSPSC41116161
 



