
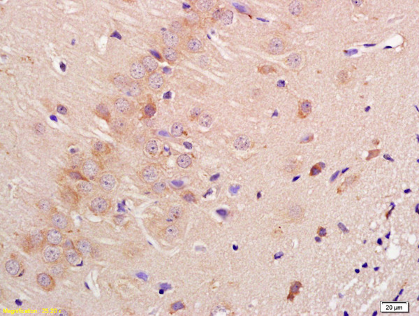
Immunohistochemical staining of human cerebral cortex shows strong cytoplasmic positivity in neuronal cells.
Anti-CNTN3 Antibody
HPA003341
ApplicationsImmunoHistoChemistry
Product group Antibodies
ReactivityHuman
TargetCNTN3
Overview
- SupplierAtlas Antibodies
- Product NameAnti-CNTN3 Antibody
- Delivery Days Customer4
- ApplicationsImmunoHistoChemistry
- CertificationResearch Use Only
- ClonalityPolyclonal
- ConjugateUnconjugated
- Gene ID5067
- Target nameCNTN3
- Target descriptioncontactin 3
- Target synonymsBIG-1, PANG, PCS, contactin-3, brain-derived immunoglobulin superfamily protein 1, contactin 3 (plasmacytoma associated), plasmacytoma-associated neuronal glycoprotein
- HostRabbit
- IsotypeIgG
- Protein IDQ9P232
- Protein NameContactin-3
- Scientific DescriptionRecombinant Protein Epitope Signature Tag (PrEST) antigen sequence
- ReactivityHuman
- Storage Instruction-20°C,2°C to 8°C
- UNSPSC41116161




