
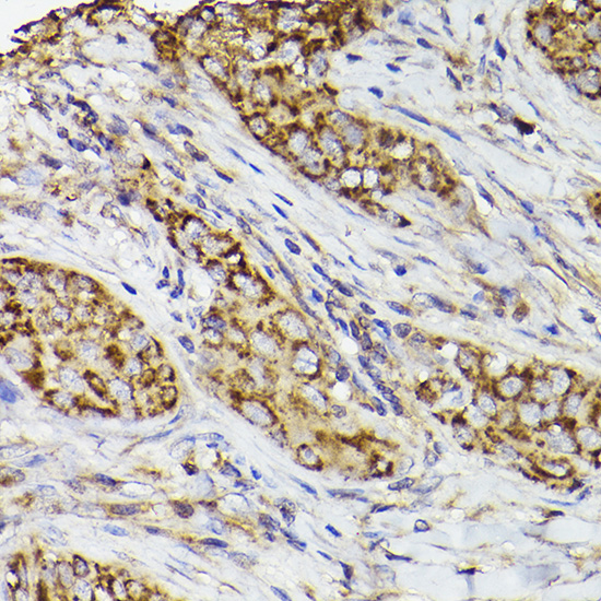
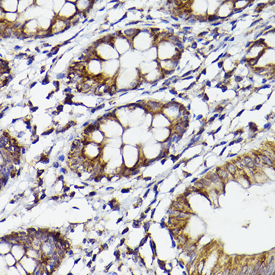
Anti-COX2 Antibody
A13409
ApplicationsWestern Blot, ImmunoHistoChemistry
Product group Antibodies
ReactivityHuman, Mouse, Rat
Overview
- SupplierAntibodies.com
- Product NameAnti-COX2 Antibody
- Delivery Days Customer7
- ApplicationsWestern Blot, ImmunoHistoChemistry
- CertificationResearch Use Only
- ClonalityPolyclonal
- ConjugateUnconjugated
- HostRabbit
- IsotypeIgG
- Scientific DescriptionRabbit polyclonal antibody to COX2.
- ReactivityHuman, Mouse, Rat
- UNSPSC12352203







![Various whole cell extracts (30 μg) were separated by 12% SDS-PAGE, and the membrane was blotted with MTCO2 antibody [GT1293] (GTX03205) diluted at 1:1000. The HRP-conjugated anti-rabbit IgG antibody (GTX213110-01) was used to detect the primary antibody.](https://www.genetex.com/upload/website/prouct_img/normal/GTX03205/GTX03205_4000000844_20210625_WB_2_w_23053123_277.webp)
