
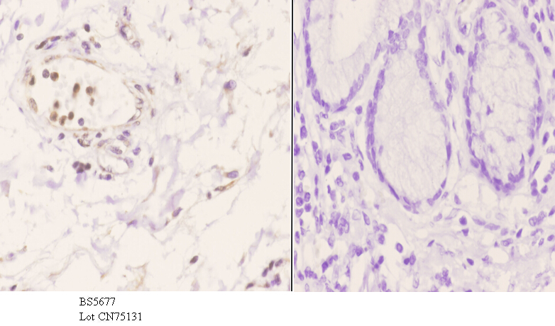
Anti-CSRP1 Antibody
A27934
ApplicationsImmunoPrecipitation, Western Blot, ImmunoCytoChemistry, ImmunoHistoChemistry
Product group Antibodies
ReactivityHuman, Mouse, Rat
Overview
- SupplierAntibodies.com
- Product NameAnti-CSRP1 Antibody
- Delivery Days Customer7
- ApplicationsImmunoPrecipitation, Western Blot, ImmunoCytoChemistry, ImmunoHistoChemistry
- CertificationResearch Use Only
- ClonalityPolyclonal
- ConjugateUnconjugated
- Estimated Purity>95%
- HostRabbit
- Scientific DescriptionRabbit polyclonal antibody to CSRP1
- ReactivityHuman, Mouse, Rat
- UNSPSC12352203



![Immunohistochemical analysis of paraffin-embedded zebrafish tissue, using CSRP1 antibody [N1C3] (GTX114344) at 1:300 dilution.](https://www.genetex.com/upload/website/prouct_img/normal/GTX114344/GTX114344_40177_IHC_Z_22111423_257.webp)