
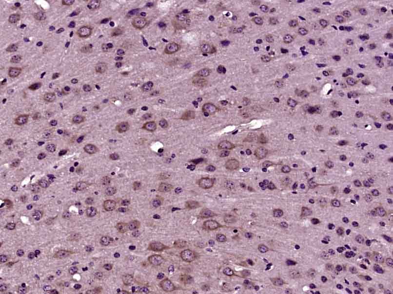
Immunohistochemical staining of human cerebral cortex shows cytoplasmic positivity in neuronal cells.
Anti-CTU2 Antibody
HPA041135
ApplicationsImmunoCytoChemistry, ImmunoHistoChemistry
Product group Antibodies
ReactivityHuman
TargetCTU2
Overview
- SupplierAtlas Antibodies
- Product NameAnti-CTU2 Antibody
- Delivery Days Customer4
- ApplicationsImmunoCytoChemistry, ImmunoHistoChemistry
- CertificationResearch Use Only
- ClonalityPolyclonal
- ConjugateUnconjugated
- Gene ID348180
- Target nameCTU2
- Target descriptioncytosolic thiouridylase subunit 2
- Target synonymsC16orf84, MFRG, NCS2, UPF0432, cytoplasmic tRNA 2-thiolation protein 2, cytosolic thiouridylase subunit 2 homolog
- HostRabbit
- IsotypeIgG
- Protein IDQ2VPK5
- Protein NameCytoplasmic tRNA 2-thiolation protein 2
- Scientific DescriptionRecombinant Protein Epitope Signature Tag (PrEST) antigen sequence
- ReactivityHuman
- Storage Instruction-20°C,2°C to 8°C
- UNSPSC41116161



