
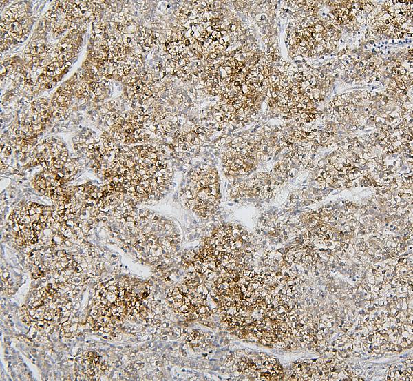
Figure 1. IHC analysis of CYP2C19 using anti-CYP2C19 antibody (A02102-2). CYP2C19 was detected in paraffin-embedded section of rat liver tissues. Heat mediated antigen retrieval was performed in citrate buffer (pH6, epitope retrieval solution) for 20 mins. The tissue section was blocked with 10% goat serum. The tissue section was then incubated with 1microg/ml rabbit anti-CYP2C19 Antibody (A02102-2) overnight at 4°C. Biotinylated goat anti-rabbit IgG was used as secondary antibody and incubated for 30 minutes at 37°C. The tissue section was developed using Strepavidin-Biotin-Complex (SABC)(Catalog # SA1022) with DAB as the chromogen.
Anti-Cytochrome p450 2C19/CYP2C19 Antibody Picoband(r)
A02102-2-CARRIER-FREE
ApplicationsWestern Blot, ImmunoHistoChemistry
Product group Antibodies
ReactivityHuman, Mouse, Rat
TargetCYP2C19
Overview
- SupplierBoster Bio
- Product NameAnti-Cytochrome p450 2C19/CYP2C19 Antibody Picoband(r)
- Delivery Days Customer9
- ApplicationsWestern Blot, ImmunoHistoChemistry
- CertificationResearch Use Only
- ClonalityPolyclonal
- Concentration500 ug/ml
- Gene ID1557
- Target nameCYP2C19
- Target descriptioncytochrome P450 family 2 subfamily C member 19
- Target synonymsCPCJ, CYP2C, CYPIIC17, CYPIIC19, P450C2C, P450IIC19, cytochrome P450 2C19, (R)-limonene 6-monooxygenase, (S)-limonene 6-monooxygenase, (S)-limonene 7-monooxygenase, S-mephenytoin 4-hydroxylase, cytochrome P-450 II C, cytochrome P450, family 2, subfamily C, polypeptide 19, cytochrome P450, subfamily IIC (mephenytoin 4-hydroxylase), polypeptide 19, cytochrome P450-11A, cytochrome P450-254C, fenbendazole monooxygenase (4'-hydroxylating), flavoprotein-linked monooxygenase, mephenytoin 4'-hydroxylase, mephenytoin 4-hydroxylase, microsomal monooxygenase, xenobiotic monooxygenase
- HostRabbit
- IsotypeIgG
- Protein IDP33261
- Protein NameCytochrome P450 2C19
- Scientific DescriptionBoster Bio Anti-Cytochrome p450 2C19/CYP2C19 Antibody catalog # A02102-2. Tested in IHC, WB applications. This antibody reacts with Human, Mouse, Rat. The brand Picoband indicates this is a premium antibody that guarantees superior quality, high affinity, and strong signals with minimal background in Western blot applications. Only our best-performing antibodies are designated as Picoband, ensuring unmatched performance.
- ReactivityHuman, Mouse, Rat
- Storage Instruction-20°C,2°C to 8°C
- UNSPSC12352203








